DOI: https://doi.org/10.37811/cl_rcm.v8i1.10245

Paciente Femenino de 27 Años con Cuadro Infeccioso, Acompañado de  Episodios Convulsivos, Cefalea Frontoparietal y Ceguera Total. A Propósito de un Caso Clínico.  Loja-Ecuador

 

María José Arcos Jima[1]

ma_josear06@hotmail.com

https://orcid.org/0009-0005-6628-5234

Hospital Regional de alta especialidad del Bajío

Universidad Nacional Autónoma de México

Mexico

 

Nataly Xiomara Bastidas Mora

nxbastidas@utp.edu.com

https://orcid.org/0009-0003-9135-9931

Hospital Regional de alta especialidad del Bajío

Universidad Nacional Autónoma de México

Mexico

 

Jerry Fabián López Zuñiga

jerry1996@outlook.es

https://orcid.org/0009-0005-0732-343X

Investigador Independiente

Ecuador

 

Stefania Yaneth Romero Torres

stefania.yaneth1993@gmail.com

https://orcid.org/0009-0005-8654-2779

Departamento de Gestión de calidad

y auditoría clínica municipal

Julia Ester Gonzales Delgado de Loja

Ecuador

 

Med. Juan Rafael Cabrera Torres

juan.r.cabrera@unl.edu.ec

https://orcid.org/0009-0002-2879-9726

Investigador Independiente

Ecuador

 

Cristian Alfonso Galarza Sánchez

cristiangalarzasanchez@gmail.com

https://orcid.org/0000-0002-7410-6313

Investigador Independiente

Ecuador

 

 


 

RESUMEN

La Neurocisticercosis es una patología parasitaria de etiología conocida y frecuente se  caracteriza  por la ingestión de huevos de Taenia solium, cuyas larvas invaden el sistema nervioso central, es de presentación infrecuente, aunque suele ser más común en países en vía de desarrollo como lo es nuestro país. En el presente artículo se da conocer el caso de una paciente de sexo femenino de 27 años de edad, soltera, raza mestiza, procedente de Perú que reside actualmente en la ciudad de Cariamanga (Loja-Ecuador), misma que, acude por presentar desde hace aproximadamente 1 meses y sin causa aparente, disminución de la agudeza visual que con el pasar de los días concluyó en ceguera total, acompañada de cefalea frontoparietal de intensidad 7/10 según escala de Eva,  sin  irradiación  y 2 episodios convulsiones tónico-clónicas en los últimos cuatro días. Manifiesta no recibir tratamiento hasta el momento por lo cual es referida para valoración y plan terapéutico, en esta casa de salud.  Es ingresada a la clínica de especialidad Abendaño, en donde se constatan signos vitales en rangos normales y exámenes de laboratorio que demuestran proceso infeccioso. Además, se realizó prueba de imagen: TAC de encéfalo, en el que destaca: múltiples calcificaciones intracraneales, sugestivo de neurocisticercosis en varias etapas, e hipodensidad mal definida en región parietal izquierda, se observa la oresencia edema cerebral y  se  determinando el diagnóstico de neurocisticercosis compromiso  oftalmológico. 

 

Palabras clave: neurocisticercosis, calcificaciones intracraneales

 

Artículo recibido 15 enero 2024

Aceptado para publicación: 20 febrero 2024


 

27-Year-Old Female Patient with Infectious Disease, Accompanied by Convulsive Episodes, Frontoparietal Headache and Total Blindness.

About a Clinical Case. Loja-Ecuador

 

ABSTRACT

Neurocysticercosis is a parasitic pathology of known and frequent etiology, characterized by the ingestion of Taenia solium eggs, whose larvae invade the central nervous system. It is rare, although it is usually more common in developing countries such as ours. country. This article presents the case of a 27-year-old female patient, single, of mixed race, from Peru who currently resides in the city of Cariamanga (Loja-Ecuador), who comes to present from Approximately 1 month ago and without apparent cause, decrease in visual acuity that, as the days went by, led to total blindness, accompanied by frontoparietal headache of intensity 7/10 according to Eva's scale, without irradiation and 2 episodes of tonic-clonic seizures in the last four days. She states that she has not received treatment to date, which is why she is referred for evaluation and therapeutic plan, at this health home. She is admitted to the Abendaño specialty clinic, where vital signs are found to be within normal ranges and laboratory tests demonstrate an infectious process. In addition, an imaging test was performed: brain CT, which highlights: Multiple intracranial calcifications, suggestive of neurocysticercosis in various stages, and poorly defined hypodensity in the left parietal region, the presence of cerebral edema was observed and the diagnosis of neurocysticercosis was determined. ophthalmological commitment.

 

Keywords: neurocysticercosis, intracranial calcifications

 


 

INTRODUCCIÓN

La cisticercosis es una enfermedad con una incidencia muy alta, además se la considera endémica en algunas regiones de Centro y Sudamérica, también en África Medial, Sureste Asiático, India y China, es poco frecuente en países desarrollados.

En América Latina, 18 países reportan la enfermedad considerándose un importante problema de salud pública, en especial en las zonas rurales pobres. Es importante señalar que en la región andina de Ecuador y los países vecinos son zonas hiperendémicas para la cisticercosis.

La neurocisticercosis está asociada en la mayoria de  los  casso a  epilepsia adquirida en los países en desarrollo, estudios realizados muy recientes con tomografía computarizada (TC) en Honduras, Ecuador y Perú demostraron una asociación sólida entre neurocisticercosis y convulsiones en el campo, con cerca del 30% de las convulsiones que han sido atribuidas a la infección por neurocisticercosis. En el Ecuador, cerca del 10% de todos los casos reportados de epilepsia, y el 25% de aquellos que se atribuyen a un hecho particular identificable, fueron a causa de cisticercosis del sistema nervioso central.

Los seres humanos pueden infectarse mediante el consumo de carne de cerdo cruda o poco cocida la misma que  tenga la  presencia de cisticercos, lo que resulta en el desarrollo de una tenia intestinal adulta (teniasis). Las manifestaciones clínicas de la cisticercosis son bastante conocidas; sin embargo, la información acerca de su epidemiología es escasa.

Objetivo General

§  Presentar un caso clínico de  neurocisticercosis en paciente femenino de 27 años de edad, sin antecedentes patológicos de importancia,  que  acude a clínica  privada.

Objetivos Específicos

§  Establecer como diagnóstico definitivo neurocisticercosis.

§  Determinar las acciones terapéuticas para el paciente en base a la clínica y uso  correcto  de exámenes complementarios,  para un  diagnostico preciso.


 

MATERIALES Y MÉTODOS

Revisión retrospectiva, descriptiva y transversal de una historia clínica de un paciente del mes de diciembre de 2021. 

Presentación de Caso

Motivos de consulta

§  Ceguera

§  Cefalea

§  Convulsiones

Paciente femenino de 27 años de edad, sin antecedentes patológicos personales o familiares de importancia.

Es llevada al servicio de salud por su familiar, quien refiere que hace aproximadamente 1 mes y sin causa aparente presentó alucinaciones visuales de figuras geométricas con vívidos colores, cambiantes de forma y tamaño, que se hacían evidentes de preferencia en las tardes, añade que a partir de tales eventos percibió una disminución de la agudeza visual en ambos campos oculares  y que con el pasar de los días concluyó en ceguera total. Al cuadro se acompaña cefalea frontoparietal de tipo opresiva de moderada intensidad, 7/10 según escala EVA,  sin irradiación, ni atenuación.  Además manifiesta que desde hace una semana existe pérdida de la memoria a corto plazo, dificultad para la deambulación y astenia generalizada, haciendo que la paciente no pueda acudir a su trabajo (empleada doméstica). Hace 4 días sufre 2 episodios convulsivos con un intervalo de 24 horas, de tipo tónico-clónico generalizado, de 5 minutos de duración, sin liberación de esfínteres, con período postictal de 15 minutos de duración. Niega alza térmica. Expresa no haber recibido ningún tratamiento hasta el momento, por lo que acude al servicio de emergencia de nuestra casa de salud, en donde es internada para valoración y plan terapéutico.

 


 

Figura 1. Paciente femenina de 27 años, procedente de Perú.

 

Antecedentes

A. Patológicos personales

Clínicos

En la infancia: No refiere

Etapa adulta: No refiere

Quirúrgicos y traumáticos: Cesárea más salpingectomía hace 3 años.

Alergias: Ninguna

Medicamentos: No refiere

B. Patológicos familiares

§  Línea materna: No refiere

§  Linea paterna: Padre con estrabismo y tío con cirrosis hepática alcohólica

C. Antecedentes gineco-obstétricos

§  Número de Embarazos:4

§  Número de partos:4

§  Abortos:0

§  Cesáreas:1

§  Hijos vivos:3

§  Hijos muertos:1

§  Papanicolau:No se ha realizado

§  Mamografía:No se ha realizado

§  Uso de anticonceptivos:No utiliza

§  Menarquia: A los 13 años de edad

§  FUM:18 de junio del 2021

Hábitos fisiológicos

§  Sueño: 8 horas en la noche, reparador y de fácil conciliación.

§  Alimentación: 3 veces al día, dieta balanceada (cereales, proteína, vegetales y abundantes frutas)

§  Micción: 3 veces al día

§  Deposición:  2 veces al día. -Según escala de heces de bristol, en tipo 3.

§  Sexuales: Sexualmente activa desde los 22 años. 1 pareja sexual. Métodos de protección (preservativo). No refiere enfermedades de transmisión sexual.

Hábitos patológicos

§  Tabaco: No refiere

§  Drogas: No refiere

§  Alcohol: No refiere

§  Automedicación: No refiere

Contexto socioeconómico y cultural

Paciente reside en el área rural de la ciudad de Cariamanga, donde convive con su pareja y tres hijos en su casa propia, de construcción mixta, hecha de madera y ladrillo, de una sola planta, cubierta de zinc, convive con animales domésticos intradomiciliarios (perros y gatos) y animales de crianza (pollos y cerdos).

No cuenta con todos los servicios básicos de  recolección de basura, agua potable (la obtienen de la quebrada, y manifiestan no tratarla antes de su consumo) y la eliminación de excretas es en pozo séptico.

Examen Físico

Signos vitales

§  Tensión arterial (TA): 120/70 mmHg.

§  Frecuencia cardíaca (FC): 86 lpm.

§  Frecuencia respiratoria (FR): 20 rpm. 

§  Temperatura axilar: 36.8 °C

§  Saturación de oxígeno (SaTO2): 96%

§  Peso: 63 kg

§  Talla: 1,68 m

§  IMC: 23.71 kg/m2

Estado de Conciencia

§  Paciente desorientado en tiempo y espacio persona. Escala de Glasgow 13/15: RO 4/4, RV 4/5, RM 5/6

Examen Somático General

§  Actitud o postura: Decúbito dorsal activo

§  Estado nutricional: Peso normal

§  Hábito corporal: Mesomorfo. FACIES: Psicoexpresiva angustiada.

§  Piel y faneras: Piel hidratada, turgencia y elasticidad normal, al examen del pliegue cutáneo normal; cabellos de color negro, de implantación normal según edad y sexo. MARCHA: Inestable. Atáxica.

Examen Somático Regional

Cabeza

Cráneo: Normocefálico, de tamaño y volumen normal. No se palpan prominencias, depresiones o puntos dolorosos. Implantación normal de cabello. Frente: Amplia, de forma redondeada, simétrica con movimientos adecuados, color en sincronía con el resto del cuerpo. Cejas: Simetricas, de implantación normal. Párpados: De características normales. Ojos: Globos oculares simétricos, escleras anictéricas, conjuntivas rosadas,  iris cafés oscuros íntegros; pupilas midriáticas 10 mm; ceguera binocular; nervio óptico atrófico con palidez marcada. Nariz: Tabique en posición central normal, fosas nasales permeables, pilificación normal. Boca: Comisuras labiales simétricas, mucosa oral húmeda, lengua saburral, piezas dentales propias en buen estado; amígdalas, úvula, pilares anteriores y posteriores normales de tamaño y constitución normal. Oídos: Pabellón auricular de morfología normal y conducto auditivo externo permeable.

Cuello

Inspección: Simétrico, movilidad conservada. Piel de coloración uniforme, sin masas, no ingurgitación yugular. Palpación: Tiroides no palpable; Sin adenopatías. Auscultación: Arterias carótidas sin soplos audibles.

Tórax

Inspección: Simétrico, frecuencia cardíaca normal (86 lpm), movimientos respiratorios de amplitud y frecuencia normal  (20 rpm), sin presencia de cicatrices. Palpación: Expansión y elasticidad torácica normal, frémito vocal normal, no se palpan puntos dolorosos. Percusión: Sonoridad pulmonar conservada. Matidez cardiaca normal. Auscultación: Corazón: R1-R2 rítmicos, no soplos, ni arritmias. Pulmones: Murmullo alveolar conservado, no ruidos sobreañadidos

Abdomen

Inspección: Abdomen simétrico, no abombamiento, no depresiones, no cicatrices, no distendido. Auscultación: Ruidos hidroaéreos 22  por  minuto.   Percusión Normal: área hepática mate, asas intestinales timpánicas. Palpación: Suave, depresible, no doloroso a la palpación superficial y profunda McBurney: (-) Psoas: (-) Rovsing: (-) Blumberg: (-) Murphy: (-)

Región lumbar

§  No dolorosa a la palpación.

§  Puñopercusión bilateral negativa

Región genital

§  Sin evidencia patológica.


 

Extremidades

§  Extremidades superiores: Simétricas, tono y fuerza muscular disminuidos en miembros superiores e inferiores, en la escala de Daniels: MSD 4/5, MSI 4/5, MID 3/5, MII 3/5.Reflejos osteotendinosos: normales en miembros superiores e inferiores ++/++++.

§  Sensibilidad conservada, no edemas, signo de Babinski negativo.

Síndrome según el cuadro clínico del paciente

Síndrome cefálico crónico afebril con compromiso oftalmológico. 

Pruebas de laboratorio

§  Hisopado prueba de antígeno

Tabla 1

§  Biometría hemática

Tabla 2. Interpretación

Parámetro

16/11/2021

18/11/2021

20/11/2021

Leucocitos

11,3

15,3

14,8

Neutrófilos

64,4

84

-

Linfocitos

22,9

11,6

14,3

Monocitos

6,5

4

5,1

Eosinófilos

0,76

0,62

0,60

Basófilos

0,4

0,03

0,02

Recuento de glóbulos rojos

5,4

3,50

3,97

Hemoglobina

15,8

14,1

15,1

Hematocrito

45,9

40,7

45,2

Volumen corpuscular medio

85,2

-

-

Concentración media hemoglobina

29,3

-

-

Concentración corp. Media Hb

34,4

-

-

Plaquetas

388

437

403

Volumen medio plaquetario

9,4

8,1

-

TP

11,6

-

-

TTP

27,6

-

-

 

§  Leucocitosis neutrofília: Proceso infeccioso a  descartar.

§  Monocitopenia: El sistema inmunológico está debilitado como ocurre en casos de infecciones en la sangre.

§  Química sanguínea

Tabla 3.  Interpretación: TGP elevado, parámetro que indica una posible NASH.

Parámetro

16/11/2021

Glucosa basal

93,20

Úrea

20,8

BUN

9,72

Creatinina

0,6

TGO

15,4

TGP

50,4

 

§  Gasometría arterial

Tabla 4 . Interpretación: los resultados se encuentran dentro de los valores normales

Parámetro

Resultados

PaO2

82mm/Hg

PaCo2

41mm/Hg

Ph

7,40

SaO2

96%

HCO3

26 mEq/L

 

§  Ionograma

Tabla 4. Interpretación: Los electrolitos sodio y potasio, que fueron medidos en suero, se encuentran en parámetros normales.

Parámetro

16/11/2021

Na suero

143

K suero

4,30

 

Pruebas de imagen

§  Tomografía computarizada simple de encéfalo

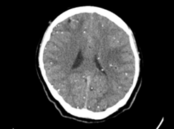
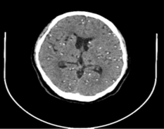
Figura 2-3. TC simple de cráneo: cortes axiales, coronales y sagitales.

Hallazgos Fig 2: presencia de múltiples imágenes quísticas, con signos de retracción con presencia de imagen hiperdensa puntiforme con una distribución supra e infratentorial, acompañado de edema periférico, calcificación fisiológica de plexos coroideos de los ventrículos laterales y glándula pineal.  Informe María José Arcos Jima

Hallazgos Fig 3: Se observan incontables imágenes nodulares cálcicas micronodulillares, que miden entre 2 mm y 5 mm, localizadas en todo el parénquima, de origen parasitario, en la región parietal se aprecia formas nodulares coloides en número de 2 a cada lado de la línea media. Además presencia de calcificaciones fisiológicas en la glándula pineal, hoz y plexos coroideos.  Informe:  Nataly Xiomara Bastidas Mora.


 

Impresión diagnóstica

§  Estadio nodular-granulomatoso de neurocisticercosis, se asocia a signos de edema periférico adyacente de predominio supratentorial

§  Neurocisticercosis a forma nodulillar calcificada

§  Neurocisticercosis nodular coloide activa parietal bilateral

RESULTADOS

Se realizó interconsulta en las áreas de oftalmología, infectología y neurología quienes establecen su diagnóstico, exámenes complementarios y tratamiento respectivo: se solicitó una TAC simple de encéfalo (Figuras 3-4), evidenciándose múltiples calcificaciones intracraneales, sugestivas de neurocisticercosis en varias etapas, e hipodensidad mal definida en región parietal izquierda, considerada edema cerebral que sugieren un proceso de autoinfección en la paciente, sumado a un cuadro de atrofia del nervio óptico con consecuente pérdida irreversible de la visión asociada a la neurocisticercosis. Determinando el diagnóstico de cisticercosis del sistema nervioso central.  

Diagnóstico final

§   Cisticercosis del sistema nervioso central                                  CIE-10: B69-0

Tratamiento posterior al diagnóstico definitivo

§  Albendazol 400 mg VO cada 12 horas.

§  Dexametasona 4 mg IV cada 12 horas.

§  Levetiracetam 500 mg VO cada 12 horas.

§  Ácido valproico 500 mg VO cada 12 horas.

Discusión del Caso

Presentamos un caso de una paciente de 27 años que sufrió cisticercosis del sistema nervioso central con compromiso óptico.

Los criterios diagnósticos de neurocisticercosis son los siguientes: el diagnóstico definitivo se realiza mediante un criterio absoluto o dos criterios mayores con uno menor, mientras que el diagnóstico probable se realiza si hay tres criterios menores. Son criterios absolutos la demostración histológica del parásito en la biopsia de lesión cerebral o medular; la presencia de lesiones quísticas que muestran el escólex en la TAC o la RM o la visualización directa de parásitos subretinianos por oftalmoscopia. Son criterios mayores la presencia de lesiones altamente sugestivas de neurocisticercosis en la neuroimagen; la demostración de anticuerpos anticisticercos positivos por inmunoblot; la resolución de las lesiones quísticas intracraneales tras el tratamiento. Son criterios menores las lesiones compatibles con neurocisticercosis en neuroimágenes; presencia de manifestaciones clínicas sugestivas de neurocisticercosis; prueba de ensayo inmunoabsorbente ligado a enzima (ELISA) positivo en el líquido cefalorraquídeo para anticuerpos anticisticerco o antígenos de cisticerco o tener cisticercosis fuera del SNC. También se señalan criterios epidemiológicos como la evidencia de contacto con un huésped con infección por Taenia solium o individuos que proceden o que viven en áreas donde la cisticercosis es endémica o historia de frecuentes viajes a esas áreas. (Brutto et al., 2005)

En este caso, mediante una TAC simple de encéfalo, se encontraron lesiones altamente sugestivas de neurocisticercosis que mejoraron tras la administración del tratamiento, es decir, presenta criterios mayores, más un criterio menor y uno epidemiológico, lo que permite la obtención de un diagnóstico, independientemente de tener pruebas serológicas.

Ya que en la TAC simple de encéfalo se observaron incontables nódulos cálcicos micronodulillares localizadas en todo el parénquima, de origen parasitario, nos encontramos con la forma parenquimatosa de esta enfermedad, descrita como la más frecuente (22-69 %) y se manifiesta por lo general con cefalea, crisis convulsivas, déficit neurológico focal o deterioro intelectual. Se reporta un caso similar a este por Serrano Ocaña G, et al. Se describen otras formas de presentación como la subaracnoidea, la intraventricular, la espinal y la extraneural; no descritas en este artículo. Existen enfermedades tales como epilepsia que pueden coexistir con el diagnóstico de cisticercosis cerebral (Newton CR., 2012).

Es de resaltar que con el cuadro clínico de la paciente que corresponde a la disminución de la agudeza visual en ambos campos oculares y posterior ceguera total, cefalea frontoparietal, deterioro del estado cognitivo y epilepsia, se debe realizar diagnósticos diferenciales de etiología infecciosa, neoplásica, autoinmunes, inflamatorias y otros. Ya que la paciente se presenta afebril, llegamos a descartar patologías como el absceso epidural, empiema subdural, absceso cerebral, granuloma tuberculoso; por no presentar signos meníngeos se llega a descartar meningitis carcinomatosa, coccidioidomicosis meníngea, criptococosis meníngea; dado el hecho de presentar a una paciente inmunocompetente, sería menos posible que tengas enfermedades oportunistas como la aspergilosis cerebral; dado que su

peso es normal (IMC 23,71 kg/m2) no asociamos neoplasias como astrocitoma, craneofaringioma, granuloma tuberculoso; al no tener síntomas de hipertensión intracraneal no sospechamos de hipertensión intracraneal idiopática e hidrocefalia obstructiva; fue necesaria la tomografía computarizada simple de encéfalo para descartar muchas de las patologías mencionadas y confirmar neurocisticercosis.

El tratamiento de la neurocisticercosis debe ser guiado sobre la base de los hallazgos tomográficos y/o por resonancia magnética, los cuales proveen evidencia objetiva de la viabilidad de las lesiones y del grado de la respuesta del huésped hacia el parásito. El tratamiento se basa en albendazol a dosis de 15 mg/kg/día durante 7-30 días o praziquantel 50-75 mg/kg/día durante 14 días y corticoides en pauta descendente de forma conjunta para disminuir la inflamación producida por la muerte del parásito. Se recurre a la cirugía en casos con hidrocefalia o quistes intraventriculares. La NC, si es intraparenquimatosa, con una carga de cisticercos baja, tiene buen pronóstico. El tratamiento antiparasitario disminuye la recurrencia de convulsiones. Pero si se trata de la forma extraparenquimatosa presenta un mal pronóstico, porque los quistes subaracnoideos racimosos basales se asocian a una intensa inflamación, hidrocefalia, pérdida de visión e infartos cerebrales. El riesgo de muerte es mayor en pacientes con hipertensión endocraneana y con carga parasitaria elevada. Es primordial la educación para la salud cuando se tiene un paciente con cisticercosis y la búsqueda de nuevos casos familiares (Juárez, et al., 2015).

CONCLUSIONES

Se estableció el diagnóstico de neurocisticercosis mediante tomografía computarizada simple de encéfalo en cuyos hallazgos se evidenció imágenes nodulares cálcicas, que miden entre 2 mm y 5 mm, localizadas en todo el parénquima, y en la región parietal se aprecian formas nodulares coloides en número de 2 a cada lado de la línea media.

Con el diagnóstico confirmado se determinó la mejor opción terapéutica albendazol 400 mg VO cada 12 horas, dexametasona 4 mg IV cada 12 horas, levetiracetam 500 mg VO cada 12 horas, ácido valproico 500 mg VO cada 12 horas.

Agradecimiento:  De igual manera, al médico tratante: Med.  Wendy Ocampo

Por su tiempo y apoyo con todos los integrantes de este grupo, para poder realizar y culminar con éxito la presentación del actual caso clínico.

Conflicto de intereses:  Los autores declaran no tener ningún conflicto de interés.

Figura 4. Evidencia de paciente dada de alta

REFERENCIAS BIBLIOGRÁFICAS

Amanda, V., & Rosas, U. (2018). Human Cysticercosis in Ecuador. Revista Killkana Salud y Bienestar, 2(2), 35–42. https://doi.org/10.26871/killkana_salud.v2i2.269

Velasquez, R., Rojas, S., Briceño, A., & Prieto, M. (2016). Neurocisticercosis: Enfermedad Infecciosa Desatendida. Comunidad y Salud, 14(2), 16.

http://www.redalyc.org/html/3757/375749517003/index.html

Serrano Ocaña G, Ortiz Sablón JC, Ochoa Tamayo I. Neurocisticercosis

https://www.who.int/es/news-room/fact-sheets/detail/taeniasis-cysticercosis

García HH, Evans CA, Nash TE, Takayanagui OM, White AC Jr, Botero D, et al. Current consensus guidelines for treatment of neurocysticercosis

https://empendium.com/manualmibe/compendio/chapter/B34.II.18.12.3.3

Bazan R, Hamamoto Filho PT, Luvizutto GJ, Nunes HR de C, Odashima NS, Dos Santos AC, et al. Clinical Symptoms, Imaging Features and Cyst Distribution in the Cerebrospinal Fluid Compartments in Patients with Extraparenchymal Neurocysticercosis

García HH, Brutto OH del. Neurocysticercosis: updated concepts about an old disease. Lancet Neurol 2005;4(10):653-61.

Newton CR, García HH. Epilepsy in poor regions of the world. The Lancet.2012;380(9848):1-8.

Manzano Juárez, Amparo, Martínez García, María Pilar, Martínez Andrés, María José, & Sánchez Beteta, María Pilar. (2015). Cefalea como presentación clínica de neurocisticercosis. Revista Clínica de Medicina de Familia, 8(2), 147-150. https://dx.doi.org/10.4321/S1699-695X2015000200009

Serrano Ocaña G, Ortiz Sablón JC, Ochoa Tamayo I. Neurocisticercosis. Presentación de un caso. Medisur [Internet]. 2009 [citado 12 Abr 2013];7(2):[aprox. 9 p.]. Disponible en:http://www.medisur.sld.cu/index.php/medisur/article/view/507/94



[1] Autor principal

Correspondencia: cristiangalarzasanchez@gmail.com