RESUMEN
El
autotrasplante dental es el acto quirúrgico de trasladar un diente sano hacia
el alveolo de otro diente que ha sido extraído debido a la imposibilidad de
restaurarlo; existe poca evidencia sobre autotransplantes de dientes con ápice
cerrado. Se reporta el seguimiento a 18 meses de un autotrasplante dental
realizado en un paciente masculino de 33 años, cuyo primer molar mandibular
izquierdo fue reemplazado por su tercer molar superior izquierdo (con ápice
completo). La planeación quirúrgica se realizó utilizando t tomografía
computarizada de haz cónico (CBCT); con el software InVesalius se realizó la
segmentación del diente donador para crear digitalmente el modelo 3D e
imprimirlo. Mediante radiografía periapical se evaluó el espacio del ligamento
periodontal, formación de hueso cortical, presencia o ausencia de reabsorción
radicular, infección e inflamación. Clínicamente se evaluó movilidad,
profundidad del sondaje y función masticatoria. Al primer
mes no se observó inflamación o infección, la movilidad fue grado 1, y el hueso
cortical no tuvo cambios. A los 4 meses se observó formación de hueso cortical
y del ligamento periodontal, mejorando a los 12 y 18 meses; evidenciando una
completa integración fisiológica entre el ligamento periodontal y hueso, sin
reabsorción ósea ni signos de inflamación o infección.
Palabras
clave: autotrasplante dental; CBCT; guía quirúrgica 3D
Cone Beam Computed Tomography and Surgical Guide in Dental
Autotransplantation of a Third Molar with Closed Apex: Clinical Case
ABSTRACT
Dental autotransplantation is the
surgical act of transferring a healthy tooth from its socket to the
post-extraction socket of another tooth that can no longer be restored, both
belonging to the same patient; however, there is poor evidence in autotransplants
with closed apex, so the purpose of this case report is to show the 18-month
follow-up of a dental autotransplant performed on a 33-year-old male patient,
in which the upper left third molar dental organ with complete apex was used to
replace the mandibular left first molar. Surgical planning was performed using
Cone Beam Computed Tomography (CBCT); the segmentation of the donor tooth was
performed to digitally with the InVesalius software
to create the 3D model and print it. At each clinical follow-up appointment, a
periapical radiograph was taken to assess the periodontal ligament space, cortical
bone formation, the presence or absence of root resorption, infection, and
inflammation. Mobility, probing depth and masticatory function were also
evaluated. In the first month, no inflammation or infection was found, mobility
was grade 1, and cortical bone remained the same. At 4 months we found
excellent formation of cortical bone and periodontal ligament health, improving
at 12 and 18 months; evidencing complete physiological integration between the
periodontal ligament and bone, no bone resorption or signs of inflammation or
infection were discovered.
Keywords: dental
autotransplantation; CBTC; 3D surgical guide
Artículo recibido 20
julio 2023
Aceptado para
publicación: 20 agosto 2023
INTRODUCCIÓN
Los primeros reportes de casos clínicos de autotrasplantes dentales
surgieron en 1950, en los cuales los terceros molares eran los principales
candidatos para reemplazar a los primeros molares que ya no podían ser
restaurados; sin embargo, estos casos no tuvieron éxito debido a la falta de
estudios clínicos y tecnología apropiada (Cross et al., 2013).
El tema de los autotrasplantes dentales ha ido evolucionando con el
tiempo, actualmente se cuenta con tecnologías que han permitido elevar la tasa
de éxito. La Tomografía Computarizada de Haz Cónico (CBCT, por sus siglas en
inglés Cone Beam Computed Tomography) ofrece representaciones tridimensionales
precisas de excelente calidad, y permite la visualización en volumen y por
cortes de la zona de interés. InVesalius es un
software médico que tiene la finalidad de crear modelos tridimensionales de
estructuras anatómicas a partir de las imágenes tomográficas; genera un archivo
en estereolitografía (STL), que es utilizado para imprimir guías quirúrgicas en
3D. Estas guías son dispositivos biomédicos a base de resina líquida
biocompatible, cuyo objetivo en el área de autotransplantes, es realizar una
preparación meticulosa del alvéolo, para lograr la inserción controlada e
inmediata del diente donador. Estas herramientas tecnológicas tienen como
objetivo ayudar a la planeación, reducir el tiempo quirúrgico y evitar
iatrogenias; estos factores han sido reportados como indicadores de éxito en el
autotrasplante dental (Lee et al.,
2001).
Las indicaciones para realizar un autotrasplante son: dientes
impactados o dientes ectópicos, traumatismos, pérdida de diente a causa de
tumores o por iatrogenias, caries extensas, y endodoncias fallidas u otro
factor que no permita su restauración o rehabilitación (Almpani et al., 2015; Park et al., 2010). Para poder justificar el autotrasplante dental se deben de tomar en
cuenta varios factores; en primer lugar, la morfología es fundamental, ya que
se busca que la anatomía coronal y radicular del diente donador sea lo más
normal posible para que la extracción sea totalmente atraumática y así poder
preservar células del ligamento periodontal (Clokie et al., 2001; Wu et al.,
2019).
El tiempo extraoral prolongado del diente donante afecta
significativamente la viabilidad celular del ligamento periodontal ocasionando
resultados desfavorables (Hupp et al., 1998; Kim et al., 2005; Tsukiboshi,
2002). Los primeros estudios clínicos demostraron que el tiempo extraoral debe
ser menor a 18 minutos, ya que si se prolonga surge hipoxia de las células del
ligamento periodontal, con la consecuente necrosis pulpar, reabsorción
radicular y anquilosis (Andreasen, 1981).
Las condiciones del sitio receptor deben garantizar la
adaptabilidad del diente donante en todas sus dimensiones, razón por la que se
realiza la Tomografía Computarizada de Haz Cónico o “Cone Beam Computed
Tomography (CBCT)”, con la cual es posible analizar con exactitud las medidas
del hueso alveolar, y en caso de requerir más espacio alveolar confeccionarlo
quirúrgicamente (Altonen et al., 1978; Northway & Konigsberg, 1980;
Tsukiboshi, 2002).
La posición del diente donador debe quedar en un plano
infra oclusal para evitar contactos oclusales. Aquellos casos en los que el
diente donador presenta poca estabilidad se deberán ferulizar; varios autores
mencionan que con una ferulización semirrígida mediante alambre de ortodoncia
con resina o hilo de sutura cruzada alrededor del diente se obtendrán
excelentes resultados. El tiempo de ferulización aún sigue causando
controversia, algunos autores mencionan que la ferulización semirrígida debe
limitarse entre 2 y 4 semanas (Gault & Warocquier-Clerout, 2002; Thomas et
al., 1998), mientras que otros mencionan que el tiempo debe oscilar entre 1 y 6
semanas (Akiyama et al., 1998).
El diente donador con ápice completo requiere obligatoriamente
tratamiento de conductos, ya que la revascularización pulpar después del
autotrasplante no es la óptima en ápices con diámetro menor a 1 mm (Andreasen et al., 1990; Hasselgren et al., 1977;
Marques-Ferreira et al., 2011; Skoglund et al., 1981). El tratamiento de
conductos deberá realizarse entre las 2 y 4 semanas después del autotrasplante
con el fin de evitar necrosis pulpar (Marques-Ferreira
et al., 2011; Mejàre et al., 2004).
METODOLOGÍA
Reporte de caso
clínico
Paciente masculino de 33 años de edad sin antecedentes patológicos
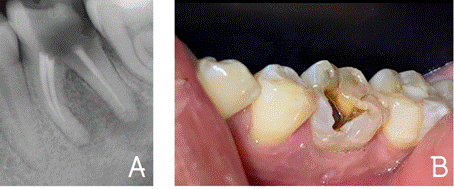
existentes, se presenta a consulta para valorar su órgano dental 36. A la
exploración clínica (Figura 1 A) y radiográfica (Figura 1 B), se observó el
órgano dental 36 con tratamiento de conductos presente y lesión extensa que
comunica con furca; el pronóstico es pobre, por lo que se toma la decisión
llevar a cabo la extracción de la pieza dental.
Figura 1.
A) Fotografía clínica preoperatoria. B) Radiografía periapical
inicial.

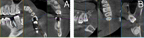
Se realizó una tomografía computarizada de
haz cónico (CBCT), con el fin de medir las dimensiones del hueso receptor
(Figura 2A), y analizar los terceros molares presentes para seleccionar la raíz
con mejor adaptación al alveolo receptor; resultando el órgano dental 28 como
el donador seleccionado (Figura 2B).
Figura 2.
Medidas de las zonas de interés obtenidas mediante CBTC. A) Corte
sagital, coronal y axial de la zona del alveolo receptor. B) Corte sagital,
coronal y axial del diente donador 28.

Con la tomografía CBCT se obtuvieron datos tridimensionales del diente
donador y se convirtieron en un archivo con el formato “Digital Imaging and Communications
in Medicine” (DICOM). Dicho archivo se exportó al software InVesalius 3.1.1
para planificar virtualmente la cirugía del autotrasplante dental colocando al
diente donador en la zona del alveolo receptor (Figura 3). Este software
permite realizar la separación del diente donador de las demás estructuras
circundantes para crear digitalmente la guía quirúrgica 3D y guardarla en un
archivo en estereolitografía (STL). La guía quirúrgica se fabricó con la resina
NextDent Surgical Guide ™ (NextDent B.V., The Netherlands) en la impresora 3D
(Phrozen Dental, Taiwan), y posteriormente se esterilizó en autoclave bajo
presión con calor húmedo a una temperatura de 121º C por 15 min.
Figura 3.
Segmentación y simulación digital del diente donador hacia la zona del
alveolo receptor con el software InVesalius 3.1.1.

Se anestesió el nervio dentario alveolar inferior utilizando la
solución de articaína 4%/epinefrina 1:100:000; se llevó a cabo la odontosección del órgano dental 36 y se retiraron los
fragmentos restantes con elevador dental. Se confeccionó quirúrgicamente el
alveolo receptor con fresa de bola de carburo y abundante irrigación con suero
fisiológico, retirando parcialmente el tabique interradicular y contorneando el
alveolo de acuerdo a la forma de la guía quirúrgica 3D en un tiempo aproximado
de 3 minutos (Figura 4).
Figura 4.
Prueba de guía quirúrgica en alveolo receptor.

Meticulosamente se realizó la extracción del órgano dental 28 con
elevador dental y pinzas Halsted-mosquito para evitar dañar a las células del
ligamento periodontal; se transfirió inmediatamente al alveolo receptor
previamente confeccionado, siendo colocado en una posición interoclusal para
evitar interferencias oclusales, y se eliminaron puntos de contacto; el tiempo
extraoral del diente donador fue menor a 30 segundos. Se ferulizó
con alambre de ortodoncia de grosor 0.02 mm unido con resina en las superficies
vestibulares del diente donador y de los dientes adyacentes por un lapso de 3
semanas (Figura 5A y 5B).
Figura 5.
A) Vista clínica del diente donador en posición interoclusal,
ferulizado con alambre
de ortodoncia y resina. B) Radiografía periapical final.

Cuatro semanas después de la cirugía se procede a iniciar con el
tratamiento de conductos; se instrumentó con el sistema RECIPROC® (VDW GmbH,
Munich) hasta R40 utilizando 15 ml de hipoclorito de sodio al 5.25%, y
posteriormente 3 ciclos de 20 segundos de activación ultrasónica; se dejó
medicación intraconducto con hidróxido de calcio. A
los 7 días se retiró la medicación y se realizó protocolo de irrigación final
usando hipoclorito de sodio 5% y EDTA 17%, y por último 2 ml de suero
fisiológico. Posterior a la irrigación, el conducto fue secado y obturado con
técnica termoplastificada y cemento AH Plus®root
canal sealer ™ (DENTSPLY Maillefer, USA) (Figura 6).
Se programaron citas de control y seguimiento en los meses posteriores
(1, 4,12 y 18). En cada cita se tomó radiografía periapical para evaluar el
espacio del ligamento periodontal, la formación de hueso cortical y la
presencia o ausencia de reabsorción radicular, infección e inflamación.
Clínicamente se evaluó la movilidad, profundidad del sondaje y función
masticatoria.
En la cita de seguimiento del primer mes después de la cirugía no se
observó presencia de inflamación o infección en tejidos, la movilidad fue de
grado 1 y se evidenció una ligera formación de hueso cortical (Figura 6).
Figura 6.
Radiografía posterior al tratamiento de conductos realizado 1 mes
después de la cirugía.

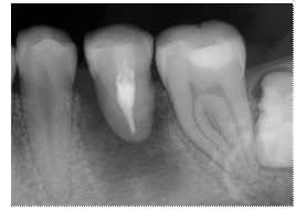
A los 4 meses se observó una excelente formación de hueso cortical y
del ligamento periodontal (Figura 7A), lo que continuó mejorando a los 12
(Figura 7B) y 18 meses (Figura 7C) evidenciando una completa integración
fisiológica entre el ligamento periodontal y hueso, no se observó reabsorción
ósea ni signos de inflamación o infección.
Figura 7.
Radiografías de control A) 4 meses. B) 12 meses. C) 18 meses.

RESULTADOS Y
DISCUSIÓN
En el presente caso clínico se fabricó una guía quirúrgica en 3D
utilizando imágenes tomográficas y software especializado; con esta guía se
logró llevar a cabo la planeación meticulosa de la cirugía, lo que permitió una
significativa reducción en el tiempo extraoral del autotrasplante dental.
Basados en el seguimiento clínico y radiológico a 18 meses, se puede concluir
que el resultado del procedimiento ha sido exitoso.
De acuerdo con Andreasen et al., quienes demostraron que el ligamento
periodontal obtiene una buena cicatrización cuando el tiempo extraoral del
diente donante es menor de 18 minutos (Andreasen, 1981), en nuestro caso el
tiempo extraoral del diente donador fue de aproximadamente 30 segundos, con lo
que se aumenta la probabilidad de éxito del tratamiento dado a la alta
viabilidad celular y cicatrización del ligamento periodontal; dicha reducción
del tiempo de transplante fue posible por el
análisis preoperatorio que se realizó con la tomografía computarizada de haz
cónico (CBCT) y la guía quirúrgica digital 3D.
Altonen et al., realizaron 28 trasplantes dentales de caninos maxilares
completamente desarrollados en 22 pacientes, dividieron a los pacientes en tres
grupos de acuerdo a la edad: (I)12-20, (ll) 21-30 y (lll) 31-47 años; a pesar
de que los resultados no fueron lineales, se observó que los pacientes del
grupo (l) tuvieron un mejor pronóstico comparado con los demás (Altonen et al.,
1978). Otros autores también demuestran que en pacientes menores a 40 años los
resultados en el autotrasplante dental son más favorables (Schwartz et al.,
1985; Sugai et al., 2010); por ejemplo, en este caso clínico, la edad del
paciente era de 33 años; además fue considerado como un sujeto sano, sin
antecedentes patológicos y con buena salud general.
Clokie et al. demostraron que los dientes con una sola raíz son más
predecibles que los dientes con múltiples raíces (Clokie et al., 2001); basados
en esa información, seleccionamos el órgano dental 28 para el autotrasplante
dental, ya que presentaba una sola raíz y la morfología del sistema de
conductos radiculares era aparentemente sencilla.
Gault et al. mencionan que se debe evitar la ferulización rígida, ya
que limita completamente el movimiento del diente donador y favorece el
desarrollo de anquilosis; por el contrario, demostraron que con la ferulización
semirrígida limitada a 4 semanas se obtiene un mejor pronóstico (Gault &
Warocquier-Clerout, 2002); por lo que, en este caso, se eligió utilizar una
ferulización semirrígida con alambre de ortodoncia calibre 0.02 mm y resina por
un periodo de 3 semanas.
Sugai et al., mencionan que el tratamiento de conductos debe realizarse
de 3 a 4 semanas después de la cirugía para evitar inflamación, necrosis pulpar
y la consiguiente reabsorción radicular, ya que la revascularización pulpar no
es la ideal para que la pulpa se vuelva a regenerar (Sugai et al., 2010). En el
presente caso clínico el tratamiento de conductos se realizó 4 semanas después
de la cirugía.
CONCLUSIONES
El desarrollo y aplicación de
nuevas herramientas tecnológicas, tales como las imágenes tomográficas,
softwares especializados y las guías quirúrgicas, nos ofrecen la posibilidad de
realizar una planificación más precisa, permitiéndonos realizar procedimientos
odontológicos, como las cirugías conservadoras, en tiempos más cortos y de
manera más predecible. Así, el autotrasplante dental puede figurar como una
excelente opción a considerar dentro de los tratamientos de rehabilitación
dental, considerando que es una alternativa biológica viable.
La odontología basada en la
evidencia nos ofrece la capacidad de predecir el pronóstico de un
autotransplante mediante el análisis de los factores implicados en la respuesta
al tratamiento, y nos proporciona la capacidad de elegir las características de
los órganos dentales para aumentar las probabilidades de un tratamiento
exitoso.
LISTA DE
REFERENCIAS
Akiyama, Y., Fukuda, H., & Hashimoto, K. (1998).
A clinical and radiographic
study of 25 autotransplanted third molars. Journal of Oral Rehabilitation,
25(8), 640–644. https://doi.org/10.1046/j.1365-2842.1998.00215.x
Almpani, K., Papageorgiou, S. N., &
Papadopoulos, M. A. (2015). Autotransplantation of teeth in humans: a
systematic review and meta-analysis. Clinical Oral Investigations, 19(6),
1157–1179. https://doi.org/10.1007/s00784-015-1473-9
Altonen, M., Haavikko, K., & Malmström, M.
(1978). Evaluation of autotransplantations of completely developed maxillary
canines. International Journal of Oral Surgery, 7(5), 434–441. https://doi.org/10.1016/S0300-9785(78)80034-9
Andreasen, J. O. (1981). Periodontal healing after
replantation and autotransplantation of incisors in monkeys. International
Journal of Oral Surgery, 10(1), 54–61. https://doi.org/10.1016/S0300-9785(81)80008-7
Andreasen, J. O., Paulsen, H. U., Yu, Z., Bayer, T.,
& Schwartz, O. (1990). A long-term study of 370 autotransplanted premolars.
Part II. Tooth survival and pulp healing subsequent to transplantation. European
Journal of Orthodontics14, 12(1), 14–24. https://doi.org/10.1093/ejo/12.1.14
Armstrong, L., O’Reilly, C., & Ahmed, B. (2020).
Autotransplantation of third molars: a literature review and preliminary
protocols. British Dental Journal, 228(4), 247–251. https://doi.org/10.1038/s41415-020-1264-9
Clokie, C. M. L., Yau, D. M., & Chano, L.
(2001). Autogenous tooth transplantation: An alternative to dental implant
placement? Journal of the Canadian Dental Association, 67(2), 92–96. Cross, D.,
El-Angbawi, A., McLaughlin, P., Keightley, A., Brocklebank, L., Whitters, J.,
McKerlie, R., Cross, L., & Welbury, R. (2013). Developments in
autotransplantation of teeth. The surgeon : journal of the Royal Colleges
of Surgeons of Edinburgh and Ireland, 11(1), 49–55. https://doi.org/10.1016/J.SURGE.2012.10.003
Gault, P. C., & Warocquier-Clerout, R. (2002).
Tooth Auto-Transplantation With Double Periodontal Ligament Stimulation to
Replace Periodontally Compromised Teeth. Journal of Periodontology, 73(5),
575–583. https://doi.org/10.1902/jop.2002.73.5.575
Hasselgren, G., Larsson, Å., & Rundquist, L.
(1977). Pulpal status after autogenous transplantation of fully developed
maxillary canines. Oral Surgery, Oral Medicine, Oral Pathology, 44(1), 106–112.
https://doi.org/10.1016/0030-4220(77)90251-1
Hupp, J. G., Mesaros, S. V., Aukhil, L., &
Trope, M. (1998). Periodontal ligament vitality and histologie healing of teeth
stored for extended periods before transplantation. Endodontics and Dental
Traumatology, 14(2), 79–83. https://doi.org/10.1111/j.1600-9657.1998.tb00815.x
Kim, E., Jun[i][ii]g, J. Y., Cha, I. H., Kum, K. Y., &
Lee, S. J. (2005). Evaluation of the prognosis and causes of failure in 182
cases of autogenous tooth transplantation. Oral Surgery, Oral Medicine, Oral
Pathology, Oral Radiology and Endodontology, 100(1), 112–119. https://doi.org/10.1016/j.tripleo.2004.09.007
Lee, S. J., Jung, I. Y., Lee, C. Y., Choi, S. Y.,
& Kum, K. Y. (2001). Clinical application of computer-aided rapid
prototyping for tooth transplantation. Dental Traumatology, 17(3), 114–119. https://doi.org/10.1034/j.1600-9657.2001.017003114.x
Marques-Ferreira, M., Rabaça-Botelho, M. F.,
Carvalho, L., Oliveiros, B., & Palmeirão-Carrilho, E. V. (2011). Autogenous
tooth transplantation: Evaluation of pulp tissue regeneration. Medicina Oral,
Patologia Oral y Cirugia Bucal, 16(7), e984–e989. https://doi.org/10.4317/medoral.16926
Mejàre, B., Wannfors, K., & Jansson, L. (2004).
A prospective study on transplantation of third molars with complete root
formation. Oral Surgery, Oral Medicine, Oral Pathology, Oral Radiology, and
Endodontics, 97(2), 231–238. https://doi.org/10.1016/S1079-2104(03)00461-X
Northway, W. M., & Konigsberg, S. (1980).
Autogenic tooth transplantation the “state of the art”. American Journal of
Orthodontics, 77(2), 146–162. https://doi.org/10.1016/0002-9416(80)90003-2
Ong, D. C. V., & Dance, G. M. (2021). Posterior
tooth autotransplantation: a case series. Australian Dental Journal, 66(1),
85–95. https://doi.org/10.1111/adj.12757
Park, J. H., Tai, K., & Hayashi, D. (2010).
Tooth Autotransplantation as a Treatment Option: A Review. Journal of Clinical
Pediatric Dentistry, 35(2), 129–135. https://doi.org/10.17796/jcpd.35.2.97816254u2140x88
Schwartz, O., Bergmann, P., & Klausen, B.
(1985). Autotransplantation of human teeth. A life-table analysis of prognostic
factors. International Journal of Oral Surgery, 14(3), 245–258. https://doi.org/10.1016/s0300-9785(85)80036-3
Skoglund, A., Hasselgren, G., & Tronstad, L.
(1981). Oxidoreductase activity in the pulp of replanted and autotransplanted
teeth in young dogs. Oral Surgery, Oral Medicine, Oral Pathology205, 52(2),
205–209. https://doi.org/10.1016/0030-4220(81)90320-0
Sugai, T., Yoshizawa, M., Kobayashi, T., Ono, K.,
Takagi, R., Kitamura, N., Okiji, T., & Saito, C. (2010). Clinical study on
prognostic factors for autotransplantation of teeth with complete root
formation. International Journal of Oral and Maxillofacial Surgery, 39(12),
1193–1203. https://doi.org/10.1016/j.ijom.2010.06.018
Thomas, S., Turner, S. R., & Sandy, J. R.
(1998). Autotransplantation of teeth: is there a role? British journal of
orthodontics, 25(4), 275–282. https://doi.org/10.1093/ortho/25.4.275
Tsukiboshi, M. (2002). Autotransplantation of teeth:
Requirements for predictable success. Dental Traumatology, 18(4), 157–180. https://doi.org/10.1034/j.1600-9657.2002.00118.x
Wu, Y., Chen, J., Xie, F., Liu, H., Niu, G., &
Zhou, L. (2019). Autotransplantation of mature impacted tooth to a fresh molar
socket using a 3D replica and guided bone regeneration: two years retrospective
case series. BMC Oral Health, 19(1), 248. https://doi.org/10.1186/s12903-019-
0945-8