Tromboembolismo Pulmonar Secundario a Cirrosis Hepática por Hepatitis C. Reporte de Caso

 

Md. Tamara Patricia Aguilar Arteaga[1]

tamipaa27@hotmail.com

https://orcid.org/0000-0001-6882-4389

Médico General,

Hospital Básico San Miguel,

Ecuador

Md. Ana Magaly Zumba Nagua

animagaly5744@gmail.com

https://orcid.org/0009-0000-4749-2071

Médico General

Hospital Manuel Ygnacio Monteros – IESS

Ecuador

Md. Doris Alexandra Quisatags Campoverde

negrita-dd22@hotmail.com

https://orcid.org/0009-0007-3088-2816 

Médico General

Hospital Manuel Ygnacio Monteros – IESS

Ecuador

Md. Ángel Augusto Naranjo Ramos

monillobarce@gmail.com

https://orcid.org/0000-0001-8403-9903

Médico General

Hospital Manuel Ygnacio Monteros – IESS

Ecuador

Md. Janina Margarita Ríos Moreira

janny_nj@hotmail.es

https://orcid.org/0000-0002-6076-0584

Médico General Hospital General

Manuel Ygnacio Monteros- IESS

Ecuador

 

 

RESUMEN

 

La hepatitis viral puede promover el desarrollo de tromboembolismo venoso profundo (TVP) y, más específicamente, trombosis de la vena porta (PVT). Los pacientes con infección por el virus de la hepatitis C tienen un mayor riesgo de sufrir trombosis venosa profunda y embolia pulmonar. La infección por el virus de la hepatitis C (VHC) es una de las principales causas de la cirrosis. Se estima que aproximadamente 180 millones de pacientes en todo el mundo están infectados con este virus. La inflamación crónica se reconoce cada vez más como otro factor de riesgo de TEP. Estudios han demostrado efectos provocadores de las citoquinas inflamatorias y el estrés oxidativo en la cascada de la coagulación, lo que resulta en un estado de hipercoagulabilidad. La hepatitis viral aguda puede inducir cambios inflamatorios en los tejidos circundantes, en particular en el endotelio del sistema de la vena porta, lo que provoca la activación del sistema de coagulación por inflamación y aumenta el riesgo de trombosis de la vena porta. Se reporta un paciente masculino de 49 años que acude por referir desde hace 2 días y sin causa aparente, dolor torácico, de moderada intensidad 5/10 EVA, sin irradiación, tipo punzante e intermitente, se acompaña de disnea de ligeros esfuerzos (Grado III), y tos sin expectoración, motivo por el cual acude.

 

Palabras claves: hepatitis viral; trombosis; tromboembolismo; inflamación; hipercoagulabilidad.  

Pulmonary Thromboembolism Secondary to Hepatitis C Liver Cirrhosis. Case Report

 

ABSTRACT

 

Viral hepatitis can promote the development of deep venous thromboembolism (DVT) and, more specifically, portal vein thrombosis (PVT). Patients with hepatitis C virus infection are at increased risk of deep vein thrombosis and pulmonary embolism. Hepatitis C virus (HCV) infection is one of the main causes of cirrhosis. It is estimated that approximately 180 million patients worldwide are infected with this virus. Chronic inflammation is increasingly recognized as another risk factor for PE. Studies have shown provocative effects of inflammatory cytokines and oxidative stress on the coagulation cascade, resulting in a hypercoagulable state. Acute viral hepatitis can induce inflammatory changes in surrounding tissues, particularly the endothelium of the portal vein system, leading to activation of the inflammatory coagulation system and increasing the risk of portal vein thrombosis. A 49-year-old male patient is reported who has been referred for 2 days and with no apparent cause, chest pain, of moderate intensity 5/10 VAS, without irradiation, stabbing and intermittent type, accompanied by dyspnea on light exertion (Grade III), and cough without expectoration, which is why you come.

 

Keywords: polyglandular; autoimmune; antibodies; syndrome; Addison’s disease.

 

 

 

Artículo recibido 15 septiembre 2023

Aceptado para publicación: 19 octubre 2023

 

 

 

 

 

 

 

 

 

 

INTRODUCCIÓN

La hepatitis C es causada por una infección con el virus de la hepatitis C (VHC), que es un virus ARN de la familia Flaviviridae. La infección crónica por este virus provoca un proceso inflamatorio crónico que puede provocar fibrosis hepática, cirrosis, carcinoma hepatocelular y la muerte. Se estima que alrededor de 71 millones de personas en todo el mundo son virémicas, lo que corresponde a una prevalencia del 1%. Las personas permanecen asintomáticas durante un período prolongado o no se les ha hecho la prueba del VHC. La infección por el VHC es una de las principales causas de enfermedad hepática crónica, es la principal causa del carcinoma hepatocelular y es una de las principales indicaciones de trasplante de hígado en los países occidentales.

La hepatitis C puede aumentar el riesgo de trombosis por varios mecanismos. La hepatitis viral aguda puede inducir cambios inflamatorios en los tejidos circundantes, en particular en el endotelio del sistema de la vena porta, lo que provoca la activación del sistema de coagulación por inflamación y aumenta el riesgo de trombosis de la vena porta. Se debe prestar especial atención a las enfermedades hepáticas crónicas. Aunque clásicamente se considera una coagulopatía que conduce a hemorragia, existe evidencia reciente que sugiere que en pacientes con enfermedad hepática crónica el riesgo de trombosis puede incluso superar el riesgo de hemorragia.

El desarrollo de fibrosis hepática en pacientes con lesión hepática crónica representa un rasgo de enfermedad complejo que está modulado por la interacción de factores genéticos del huésped e influencias ambientales, en las que el sistema de coagulación puede desempeñar un papel relevante. La trombina no sólo tiene función procoagulante, sino que también se une a varios receptores llamados receptores activados por proteasa (PAR).

La inflamación crónica parece aumentar la tendencia a la coagulación mediante la estimulación de la cascada de coagulación por parte de citocinas inflamatorias. Además, la formación de coágulos sanguíneos puede ocurrir con mayor frecuencia entre pacientes infectados por el VHC como resultado de la disfunción endotelial debido al estrés oxidativo relacionado con la inflamación. Además, la infección crónica por VHC se asocia con una producción anormal de autoanticuerpos.

 

 

La asociación entre la infección por VHC y la TVP puede explicarse de la siguiente manera

§  En primer lugar, en la enfermedad hepática crónica asociada al VHC pueden producirse alteraciones del flujo venoso y vasculopatía asociadas con el estado inflamatorio crónico.

§  En segundo lugar, se ha documentado la presencia de anticuerpos anticardiolipina y antifosfolípidos en pacientes con infección por VHC.

§  En tercer lugar, en pacientes con enfermedad hepática crónica, se ha informado una disminución de las proteínas anticoagulantes como la antitrombina III, la proteína C, la proteína S y un aumento del nivel de proteínas procoagulantes como el factor VIII y el factor von Willebrand.

§  En cuarto lugar, se detectaron valores significativamente más altos de tasas de generación de trombina en pacientes cirróticos asociados con el VHC que en pacientes cirróticos asociados con el VHB o el alcoholismo.

§  Quinto, la prevalencia de crioglobulinemia es significativamente mayor en pacientes con VHC que en los pacientes con VHB o en el grupo de control. Los pacientes con crioglobulinemia pueden tener manifestaciones clínicas de vasculitis trombótica.

Aunque el diagnóstico de certeza en cirrosis hepática es la biopsia hepática, la presencia de alteraciones en los exámenes de laboratorio como trombocitopenia, elevación de nitrogenados y de bilirrubinas, hipoalbuminemia y prolongación de los tiempos de coagulación proveen información acerca de la función hepática y afectación de órganos blanco.

El abordaje diagnóstico y los criterios de gravedad dependen del número de órganos afectados, esta valoración se puede realizar según escores de gravedad como el APACHE, el SOFA, o el CLIFF-SOFA

El tromboembolismo venoso está conformado por el tromboembolismo pulmonar y por la trombosis venosa profunda.

El tromboembolismo pulmonar es una condición médica en la cual se produce una oclusión repentina de la arteria pulmonar por un trombo que se desprende generalmente proveniente del sistema venoso profundo a nivel de miembros inferiores. Es la principal causa de muerte prevenible en los pacientes hospitalizados.

Las manifestaciones clínicas en los pacientes con TEP generalmente están ausentes o son inespecíficas, por lo que la sospecha clínica es de suma importancia en el diagnostico. La disnea es el síntoma más común y la taquipnea es el signo más común en los pacientes con TEP.

El diagnóstico del TEP se basa mucho en la sospecha clínica. Si la sospecha clínica coloca al paciente como un paciente de bajo riesgo se puede solicitar inicialmente la cuantificación en sangre del dímero-D, esta prueba pose un alto valor predictivo negativo, una sensibilidad alta y una especificidad baja; por lo que si la prueba es negativa es muy poco probable que nos encontremos ante un TEP. Si la clínica sugiere un paciente de alto riesgo las guías indican la realización de una topografía axial computarizada (TAC) multidetector con medio de contraste, el cual es considerado el ¨Gold standard”; de no ser diagnóstico se pueden solicitar otros estudios por imagen.

Caso clínico

Paciente refiere que hace 2 días y sin causa aparente, presenta dolor torácico, de moderada intensidad 5/10 EVA, sin irradiación, tipo punzante e intermitente, se acompaña de disnea de ligeros esfuerzos (Grado III), y tos sin expectoración, además refiere no haber tomado medicación alguna.

En las 24 horas previas a la consulta presentó síncope por 2 ocasiones, la primera de ellas mientras se reía y las segunda mientras mantenía una discusión con su pareja. Ambos episodios fueron presenciados por su esposa quien refirió que durante los episodios el paciente se vuelve cianótico, perdió el conocimiento por aproximadamente 30 segundos, mueve la cabeza rápidamente en ese momento y se recupera gradualmente al cabo de unos minutos. Razón por la cual acude a esta casa de salud para valoración.

Enfermedades médicas:

§  Cirrosis por virus de hepatitis C

Antecedentes alérgicos: No refiere

Antecedentes quirúrgicos: No refiere

Antecedentes familiares: Hipotiroidismo madre

Hábitos

§  Alimentación: balanceada 3 veces al día

§  Intolerancias alimenticias: ninguna

§  Catarsis: 1 vez al día

§  Diuresis: 2 – 3 veces al día

§  Sueño: 8 horas diarias, no reparador

§  Bebidas alcohólicas: no

§  Tabaco: 1 cajetilla diaria

§  Drogas: exadicto a las drogas por vía parenteral, no consume desde hace 12 años

§  Medicación: Tratamiento hepatitis C (interferón + ribavirina), Ascitis por hepatitis C (espironolactona + furosemida)

Paciente ingresa al servicio de Medicina Interna en donde realiza la exploración física pertinente, signos vitales: frecuencia cardiaca 120 latidos por minuto, saturación 90% con fio2 21%, tensión arterial 135/65 mmhg, frecuencia respiratoria de 17, temperatura de 36.5°C axilar, peso: 70.3 kg, talla: 168 cm, IMC: 24.8 (Peso normal).

Paciente pálido, deshidratado, afebril, tranquilo, orientado en tiempo, espacio y persona con razonamiento lógico, comprensión y juicio normales, hiperpigmentación facial. Glasgow 15/15.

Cabeza: normocéfalica, no protrusiones, no depresiones, caída de cabello difusa. Ojos: pupilas fotorreactivas, isocóricas, escleras blancas, conjuntivas pálidas. Nariz: fosas nasales permeables. Boca: mucosa oral seca. Labios: simétricos, deshidratados y sin alteraciones. Encías: normales. Lengua: coloración y movilidad normal. Orofaringe: Hiperémica. Amígdalas y úvula: Normales. Cuello: simétrico, sin masas evidentes, no hay regurgitación yugular.

Tórax: simétrico, latido apexiano no visible, respiración torácica, no hay dolor a la palpación, expansibilidad normal, elasticidad pulmonar normal. Palpación no doloroso a la palpación, no presencia de masas. Expansibilidad y frémito conservado. Percusión resonancia en todos los campos pulmonares en hemitórax derecho e izquierdo. Matidez cardiaca del 3° al 5° espacio intercostal. Auscultación pulmones hipoventilación generalizada. Sin crepitantes ni otros agregados, corazón rítmico, soplo sistólico paraesternal derecho (foco tricuspídeo) III/VI y que no borra segundo tono. Signo de Rivero Carvallo positivo.

Abdomen: inspección: Simétrico, distendido, globoso, no cicatrices, auscultación ruidos hidroaéreos presentes palpación abdomen suave, depresible, no doloroso a la palpación superficial ni profunda. Matidez hepática en hipocondrio superior derecho, sonoridad en espacio de Traube. Presencia de matidez desplazable. Signo de onda ascítica positivo.

Región lumbar: inspección: Simétrica, de aspecto normal, color de piel acorde con el resto del cuerpo. Palpación: Sensibilidad conservada, puntos costovertebrales y costo musculares negativos Percusión: Puño percusión no dolorosa. Región genitourinaria: No valorada.

Extremidades Superiores: tono y fuerza muscular conservado, pulsos distales presentes, normorreflexia en reflejos: bicipital, tricipital y estiloradial, no se evidencia edema.

Extremidades Inferiores: tono y fuerza muscular conservado, hiperpigmentación en región del codo, pulsos distales presentes, normorreflexia, en reflejos osteotendinosos: rotuliano y aquiliano, Babinski negativo. Edemas en miembros inferiores hasta la raíz del miembro. Signo de fóvea positivo ++/4.

Exámenes de laboratorio:

Tabla 1.

Biometría Hemática

Parámetros

Valor

Unidades

Valores de referencia

Leucocitos

6.6

k/uL

(4.800 – 10.800)

Linfocitos

4.2

k/uL

(1.10 – 3.20)

Linfocitos %

40.5

%

(30.5 – 45-5)

Monocitos

1.7

k/uL

(0.30 - 0.80)

Monocitos %

10.5

%

(5.5 – 11.5)

Neutrófilos

4.9

k/uL

(2.20 – 4.80)

Neutrófilos %

50.6

%

(40 – 40.5)

Eosinófilos

0.3

k/uL

(0.02 - 5.00)

Eosinófilos %

3.70

%

(0.50 – 2.90)

Basófilos

0.1

k/uL

(0.00 - 2.00)

Basófilos %

0.7

%

(0.2 – 1.0)

G. Rojos

5.2

M/Ul

(4.200 - 5.100)

Hemoglobina

12.3

g/dL

(12.0 - 16.0)

Hematocrito

41.6

%

(37.0 - 47.0)

MCV

85.5

fL

(81.0 - 99.0)

MCH

30.3

pg

(27.0 – 32.0)

Dímero D

1.5

ug/ml

 

 

 

Tabla 2

Química Sanguínea

Parámetros

Resultados

Unidades

Valores de Referencia

PCR

15.0

mg/l

0.0-3.0

LDH

398.0

U/l

210 - 480

Creatinina

0.8

mg/dl

0.5-1.1

Urea

30.0

mg/dl

16.6-50.0

Albumina

2.9

g/dl

3.5 – 5.5

Proteínas Totales

5.1

g/dl

6.6 – 8.7

AST (TGO)

50.1

U/L

0.0 – 32.0

ALT (TGP)

64.8

U/L

0.0 – 40.0

Fosfatasa Alcalina

125.4

U/L

0.0 – 270.0

Colesterol Total

160

mg/dl

 

LDL

90

mg/dl

 

HDL

60

mg/dl

 

Triglicéridos

100

mg/dl

 

Sodio suero

142.0

meq/l

 

Potasio

3.9

meq/l

 

CPK

107.2

U/L

 

Troponina

0.03

n/g

 

Mioglobina

54

ng/ml

 

Glucemia basal

96

mg/dl

70.0 - 100

 

Tabla 3

Serológicos

Parámetros

Resultados

Unidades

Valores de Referencia

Ac. Anti-VIH 1&2

No reactivo

 

 

R. L. VDRL

No reactivo

 

 

Hepatitis C IgM - IgE

Positivo

 

 

 

 

 

 

 

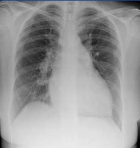
Imagen 1

Rx de Tórax

https://lh4.googleusercontent.com/Q3-9qPsfs737abcqov9Y5BK1Fm55v5Gg9fId9VtixvcFF_ZlM1-Q7NY14wphB7uJlgSqbqoSOWVMu_AO37rBbQv-TTBqm2BA9-jsPHv1SGU-1NZdUT1iI0223RlfYTMry0aDQJxNADQ

Reporte: No se aprecia el colapso pulmonar. No enfisema. No signos infiltrados micronodulares. No derrame pleural. No borramiento de ángulos costofrénicos. No Líneas de Kerley.

 

Imagen 2

Electrocardiograma.

Informe: Taquicardia sinusal, frecuencia 120 X`, eje eléctrico normal, intervalo R-R regular, onda P 0.08 seg normal, intervalo PR 0.16 seg normal, complejo QRS 0.08 seg normal.

 

 

 

 

Imagen 3

Ecocardiograma.

https://lh5.googleusercontent.com/uiW7cIDSHYFEilWlz_QCwRekHMS-kHKPVm7YrCOzrS2sg9DZqGkYEoxNMn9BlG0NQcep3nMMVjvmQBzTaQnx8kiZt4oNpekQ_BSHlsaYRYxFkzpBqv8VAy9_XuhSayTZACR8Rsa5gwE

Reporte: Ventrículo izquierdo hipertrófico con fracción de eyección conservada y sin alteraciones de la contractilidad segmentaria. Cavidades derechas severamente dilatadas con movimiento paradójico septal, insuficiencia tricúspidea severa.

 

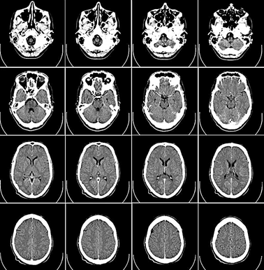
Imagen 4. 

Tomografía simple de Encéfalo -TAC

Imagen relacionada

Reporte: El estudio dentro de los parámetros normales sin hallazgos de patología aguda.

 

 

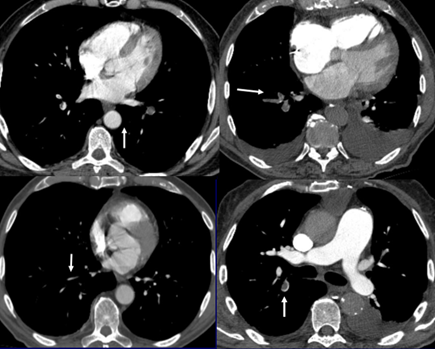
Imagen 4

Angiotomografía simple y contrastada de tórax.

 

Reporte: Los hallazgos son compatibles para TEP crónico.

Signos Directos: Defecto de repleción arterial completo. Defecto de repleción parcial. Bandas entrecruzadas.

Signos indirectos: Calcificaciones del trombo. Hipertensión pulmonar. Patrón en mosaico. Aumento del calibre de las arterias bronquiales y colaterales.

DISCUSIÓN

La hepatitis C provoca una infección crónica que puede provocar fibrosis hepática, cirrosis, carcinoma hepatocelular y la muerte de las personas. Es una etiología que puede permanecer asintomática por un prolongado periodo de tiempo, en la actualidad es la principal causa de enfermedad hepática y es una de las principales indicaciones de trasplante de hígado en los países occidentales. Fisiológicamente induce cambios inflamatorios en los tejidos circundantes como es el endotelio del sistema del vena porta, esto provoca la activación del sistema de coagulación por la inflamación dada del mismo, llegando asi a formar trombos en la vena porta.  En el presente caso se evidencia un paciente masculino de 49 años con antecedentes de consumo de drogas y tabaco por un largo periodo, lo cual seria un factor de riesgo para la adquisición y desarrollo del Virus de la Hepatitis C, paciente durante años asintomático, acudió hace años por molestias gastrointestinales e ictericia más descompensación hemodinámica, se realizan exámenes y se detecta cirrosis hepática.  En la actualidad el desarrollo de fibrosis hepática con lesión hepática crónica representa que el paciente pueda desarrollar una enfermedad compleja donde la función de trombina no realza la función de procoagulante, es por eso que aumenta la acción inflamatoria por citocinas, dando lugar a la formación de coágulos sanguíneos como resultado de una disfunción endotelial debido al estrés oxidativo de las mismas. La Cirrosis hepática por Hepatitis C esta asociada a la alteración del flujo venoso y vasculopatía debido a la inflamación crónica que da lugar a que se produzca el tromboembolismo venoso que está conformado por el tromboembolismo pulmonar y por la trombosis venosa profunda. En el paciente se realizaron estudios de laboratorio donde se evidencia nivel alto de dímero D, enzimas hepáticas elevadas por etiología de base, la disnea de pequeños esfuerzos donde se realizó radiografía de tórax sin alteraciones, la Angiotomografía de tórax reporto niveles de calcificaciones y taponamiento de vasos provocando el Tromboembolismo Pulmonar donde se detecto los signos directos que lo ratifican como son el defecto de bandas entrecruzadas y repleción arterial completo y parcial. TEP es una condición médica en la cual se produce una oclusión repentina de la arteria pulmonar por un trombo. Paciente recibe de manera inmediata tratamiento de anticoagulación evitando su muerte inminente.

CONCLUSIÓN

La hepatitis C crónica provoca la cirrosis, se evidencia que este virus puede llegar a cambiar el equilibrio hemostático de complicaciones hemorrágicas a complicaciones trombóticas. Una de sus complicaciones detallas en este artículo es el tromboembolismo pulmonar con alta mortalidad. Se recomienda concluye que un diagnostico temprano por parte de los médicos ayuda a salvaguardar la vida de los pacientes hospitalizados.

REFERENCIAS BIBLIOGRÁFICAS

(1) Samuel S, Abulawi A, Malik R. Hepatitis C and Nonalcoholic Steatohepatitis in the 21st Century: Impact on Liver Disease and Liver Transplantation. Gastroenterology Insights 2023;14(3):249.

Panel A-IHG. Hepatitis C Guidance 2018 Update: AASLD-IDSA Recommendations for Testing, Managing, and Treating Hepatitis C Virus Infection. Clin Infect Dis.; 2018; 67, pp. 1477-1492. [DOI: https://dx.doi.org/10.1093/cid/ciy585]

Petruzziello, A.; Marigliano, S.; Loquercio, G.; Cozzolino, A.; Cacciapuoti, C. Global epidemiology of hepatitis C virus infection: An up-date of the distribution and circulation of hepatitis C virus genotypes. World J. Gastroenterol.; 2016; 22, pp. 7824-7840. [DOI:

https://dx.doi.org/10.3748/wjg.v22.i34.7824]

Jenab Y, et al. Effect of delay in hospital presentation on clinical imaging findings in acute pulmonary thromboembolism. The Journal of Emergency Medicine 2014; 46(4); 465-471.

Zöller B, Ji J, Sundquist J, et al. Alcohol use disorders are associated with venous thromboembolism. J Thromb Thrombolysis 2015; 40:167–173. [PubMed] [Google Scholar]

Wang CC, Chang CT, Lin CL, Lin IC, Kao CH. Hepatitis C Virus Infection Associated With an Increased Risk of Deep Vein Thrombosis: A Population-Based Cohort Study. Medicine (Baltimore). 2015 Sep;94(38):e1585. doi: 10.1097/MD.0000000000001585. PMID: 26402820; PMCID: PMC4635760

Galli L, Gerdes VE, Guasti L, Squizzato A. Thrombosis Associated with Viral Hepatitis. J Clin Transl Hepatol. 2014 Dec;2(4):234-9. doi: 10.14218/JCTH.2014.00031. Epub 2014 Dec 15. PMID: 26357629; PMCID: PMC4521234

Antonio Lizárraga, W a,b ; Dalia, Samir b ; Reinert, Steven Eb ; Schiffman, Fred J b . Trombosis venosa en pacientes con enfermedad hepática crónica. Coagulación sanguínea y fibrinolisis 21(5):p 431-435, julio de 2010. | DOI: 10.1097/MBC.0b013e328337b3ba

El Bokl MA, Shawky A, Riad GS, Abdel Fattah HS, Shalaby H, Nady A, Khattab D. Procoagulant versus anticoagulant factors in cirrhotic patients. Arab J Gastroenterol 2014; 15:123-9. doi: 10.1016/j.ajg.2014.08.003.

Galli L, Gerdes VE, Guasti L, Squizzato A. Trombosis asociada con hepatitis viral. J Clin Transl Hepatol . 2014;2(4):234-239. doi: 10.14218/JCTH.2014.00031.

Kahn SR, Lim W, Dunn AS, Cushman M, Dentali F, Akl EA, et al. Prevención del TEV en pacientes no quirúrgicos: terapia antitrombótica y prevención de la trombosis: Guías de práctica clínica basadas en evidencia del Colegio Americano de Médicos del Tórax. Pecho. (2012) 141:195S–226S. doi: 10.1378/pecho.141.6.1645

Søgaard KK, Horváth-Puhó E, Montomoli J, Vilstrup H, Sørensen HT. La cirrosis se asocia con un aumento de la mortalidad a los 30 días después del tromboembolismo venoso. Clin Transl Gastroenterol. (2015) 6:e97. doi: 10.1038/ctg.2015.27

Miño Bernal JF, López Morales E, Sandino NJ, Molano Franco D. Cirrosis hepática o falla hepática crónica agudizada: definición y clasificación. Repert. Med. Cir. [Internet]. 14 de julio de 2022 [citado 8 de octubre de 2023];31(2):112-2. Disponible en:

https://revistas.fucsalud.edu.co/index.php/repertorio/article/view/1052

Gómez Melo LD, González Pérez CA, León Bernal D, Maldonado Velasco AS, Ramírez Rodríguez JE, Ortiz MI. Tromboembolia Pulmonar. ICSA [Internet]. 5 de junio de 2022 [citado 8 de octubre de 2023];10(20):181-7. Disponible en:

https://repository.uaeh.edu.mx/revistas/index.php/ICSA/article/view/8393

Toro-Molina JL. Trombosis venosa portal en la cirrosis hepática. Hepatol. [Internet]. 12 de julio de 2021 [citado 8 de octubre de 2023];2(2):341-54. Disponible en:

https://revistahepatologia.com/index.php/hepa/article/view/39

 

 

 

 

 



[1] Autor principal

Correspondencia: tamipaa27@hotmail.com