MOLA HIDATIFORME COMPLETA EN PACIENTE PRIMIGESTA DE 23 AÑOS. REPORTE DE CASO

 

 

 

 

COMPLETE HYDATIDIFORM MOLE IN A 23-YEAR-OLD FIRST-PREGNANCY PATIENT. CASE REPORT

 

 

 

 

 

Md. Maricela De Jesús Guerra Demera

Centro de Salud de Motupe, Ecuador

 

Md. Sandra Elizabeth Carmona Mendía

Hospital Enrique Ortega Moreira, Ecuador

 

Md. Mishell Estefanía Naranjo Mejía

PS Copal-MSP, Ecuador

 

Md. María Belén Vargas Naula

Clínica Santa Isabel,  Ecuador

 

Md. Hugo Fernando Cabrera Bernal

Clínica San Luis de Francia, Ecuador

 

Md. Ana Belén Pinzón Paladines

Universidad Nacional de Loja, Ecuador

 


 

 

 

 

 

 

 

 

 

 

 

 

 

 

 

 

 

 

 

 

 

 

 

 

 

 

 

 

 

 

 

 

 

 

 

 


 

 

 

 

DOI: https://doi.org/10.37811/cl_rcm.v8i1.9460

Mola Hidatiforme Completa en Paciente Primigesta de 23 Años

Reporte de Caso

 

Md. Maricela De Jesús Guerra Demera[1]

mdmariicelaguerra97@gmail.com

https://orcid.org/0000-0002-2396-5177

Centro de Salud de Motupe

Loja, Ecuador

 

Md. Sandra Elizabeth Carmona Mendía

scarmona20d01@gnmail.com

https://orcid.org/0009-0002-6942-3020

Hospital Enrique Ortega Moreira

Duran, Ecuador

Md. Mishell Estefanía Naranjo Mejía

shellynaranjo01@outlook.com

https://orcid.org/0000-0001-6091-7062

PS Copal-MSP

Morona Santiago, Ecuador

 

Md. María Belén Vargas Naula

maribelenvn@gmail.com

https://orcid.org/0009-0003-8057-3449

Clínica Santa Isabel

Loja, Ecuador

Md. Hugo Fernando Cabrera Bernal

hugo-1696@hotmail.com

https://orcid.org/0000-0003-4758-697X

Clínica San Luis de Francia

Guayaquil, Ecuador

Md. Ana Belén Pinzón Paladines

anabelenpinzon@gmail.com

https://orcid.org/0000-0003-0432-6406

Universidad Nacional de Loja

Loja, Ecuador

 

RESUMEN

El embarazo molar es un embarazo anormal caracterizado por diversos grados de proliferación del trofoblasto (citotrofoblasto y sincitiotrofoblasto) e inflamación de las vesículas calcáreas placentarias asociadas con la ausencia o anomalías del feto/embrión. Según criterios morfológicos y citogenéticos se han descrito dos tipos de mola: mola completa y mola parcial. Aunque los lunares generalmente se consideran benignos, son lesiones precancerosas que pueden volverse malignas e invasivas. El tratamiento de elección es la evacuación uterina y la monitorización estricta de la gonadotropina coriónica humana (hCG), especialmente el control de los niveles de β-hCG, fundamental para el diagnóstico precoz de la neoplasia trofoblástica durante el embarazo. Se reporta una paciente femenina de 23 años sin antecedentes de importancia, al momento embarazado de 9 semanas de gestación acude por presentar vómitos por varias ocasiones de contenido alimentario acompañado de sangrado transvaginal.

 

Palabras claves: mola hidatiforme, cáncer, citotrofoblasto, embarazo anormal


 

Complete Hydatidiform Mole in a 23-Year-Old First-Pregnancy Patient

Case Report

 

ABSTRACT

Molar pregnancy is an abnormal pregnancy characterized by varying degrees of trophoblast (cytotrophoblast and syncytiotrophoblast) proliferation and inflammation of placental calcareous vesicles associated with the absence or abnormalities of the fetus/embryo. According to morphological and cytogenetic criteria, two types of mole have been described: complete mole and partial mole. Although moles are generally considered benign, they are precancerous lesions that can become malignant and invasive. The treatment of choice is uterine evacuation and strict monitoring of human chorionic gonadotropin (hCG), especially control of β-hCG levels, which is essential for the early diagnosis of trophoblastic neoplasia during pregnancy. A 23-year-old female patient with no significant history is reported. At the time she was 9 weeks pregnant, she presented with vomiting on several occasions involving food content accompanied by transvaginal bleeding.

 

Keywords: hydatidiform mole, cancer, cytotrophoblast, abnormal pregnancy

 

 

 

Artículo recibido 20 diciembre 2023

Aceptado para publicación: 18 enero 2024


 

INTRODUCCIÓN

El embarazo molar (también llamado embarazo molar) es un trastorno trofoblástico gestacional (GTO) que ocurre en la placenta y puede metastatizar. Es único porque el tumor se origina en tejido del embarazo, no en tejido materno.(1) La mola hidatiforme (HM) se divide en molas completas y molas parciales y generalmente se considera una forma no invasiva de enfermedad trofoblástica gestacional. Aunque los lunares generalmente se consideran benignos, son lesiones precancerosas que pueden volverse malignas e invasivas. Esta actividad describe la fisiopatología, evaluación y tratamiento de la mola hidatiforme y enfatiza el papel del equipo interprofesional en el manejo de los pacientes afectados.(2)

La incidencia de embarazo molar es muy baja. En América del Norte y Europa, la incidencia de embarazos molares se ha descrito entre 60 y 120/100.000.(3)

Las células del trofoblasto placentario tienen la capacidad de proliferar, invadir los tejidos del huésped, evadir las respuestas inmunitarias e incluso metastatizar. La patología del trofoblasto gestacional se identifica como un grupo heterogéneo de lesiones interconectadas que ocurren en el epitelio del trofoblasto placentario después de una fertilización anormal.(4) Esta patología se caracteriza por degeneración hidroide, pérdida de vascularización en las vellosidades coriónicas y proliferación epitelial trofoblástica con edema del estroma velloso. Ésta es una complicación poco común del embarazo causada por una proliferación anormal del tejido trofoblástico; incluye varias enfermedades precancerosas; y tumores malignos (mola maligna invasiva, coriocarcinoma, tumores placentarios, tumores trofoblásticos epiteliales), estos últimos clasificados bajo el término neoplasia trofoblástica gestacional.(5)

Si se desea fertilidad, el tratamiento preferido para la enfermedad trofoblástica es la aspiración o el legrado, que se puede realizar mediante una variedad de métodos: aspiración intrauterina manual, aspiración eléctrica por vacío o legrado, pero no se recomienda la inducción farmacológica porque aumenta el riesgo de lesión miometrial, contracción y embolia tumoral en el sistema venoso.(6) También aumenta el riesgo de aborto incompleto y aumenta la posibilidad de tumores trofoblásticos posmolares. Otros tratamientos pueden incluir histerectomía (tratamiento quirúrgico) en algunos casos o incluso quimioterapia en ciertos casos.(7)

Caso clínico

MC: sangrado transvaginal + vómitos

EA: paciente gestante de 9 semanas por Fum con prueba en sangra cualitativa positiva acude al servicio de urgencias por presentar sangrado transvaginal rojo rutilante de moderada cantidad acompañado de nauseas que llegan a los vómitos refiere 6/24 horas, refiere no tolerar la vía oral, al momento dolor abdominal localizado en hipogastrio, no se irradia se exacerba con el movimiento, Eva 9/10.

Enfermedades médicas: No refiere

Antecedentes alérgicos: No refiere

Antecedentes quirúrgicos: No refiere

Antecedentes familiares: No refiere

Gineco obstétricos: g:1 p:0 a:0

Actualmente embarazo de 9 semanas.

Hábitos

§  Alimentación: 5 veces al día

§  Intolerancias alimenticias: ninguna

§  Catarsis: 2 vez al día

§  Diuresis: 1 - 4 veces al día

§  Sueño: 8 horas diarias, reparador

§  Medicación: no

Paciente ingresa al servicio de medicina interna en donde realiza la exploración física pertinente, signos vitales: frecuencia cardiaca 100 latidos por minuto, saturación 95% con fio2 21%, tensión arterial 110/78 mmhg, frecuencia respiratoria de 19, temperatura de 37.9°C axilar, peso: 80,6 kg, talla: 168 cm, IMC: 28.6 (Sobrepeso).

Paciente lucida, febril, orientada en tiempo, espacio y persona con razonamiento lógico, comprensión y juicio normales. Glasgow 15/15.

Cabeza: normocéfalica, no protrusiones, no depresiones. Ojos: pupilas fotorreactivas, isocóricas, escleras blancas, conjuntivas rosadas. Nariz: fosas nasales permeables. Boca: mucosa oral húmedas. Labios: simétricos, hidratados. Encías: normales. Cuello: Simétrico, móvil, no ingurgitación yugular, no se palpan adenopatías.

Tórax: simétrico, latido apexiano no visible, respiración torácica, no hay dolor a la palpación, expansibilidad normal, elasticidad pulmonar normal. Palpación no doloroso a la palpación, no presencia de masas. Corazón R1 y R2 rítmicos. Pulmones: murmullo vesicular conservado, no ruidos sobre añadidos.

Abdomen: inspección: Simétrico, no cicatrices, auscultación ruidos hidroaéreos presentes. Palpación Suave, blando depresible doloroso a la palpación profunda en hipogastrio.

Región lumbar: inspección: Simétrica, de aspecto normal, color de piel acorde con el resto del cuerpo. Palpación: puño percusión negativo.

Genital: al tacto vaginal se evidencia cérvix entreabierto, sangrado escaso no activo

Extremidades Superiores: tono y fuerza muscular conservado, pulsos distales presentes, normorreflexia en reflejos: bicipital, tricipital y estiloradial, no se evidencia edema.

Extremidades Inferiores: tono y fuerza muscular conservado, pulsos distales presentes

Evolución

Se realizan exámenes complementarios.

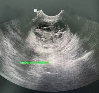
Figura 1. Ecografía transvaginal se reporta embarazo molar.

Reporte: Se realiza ecografía transvaginal donde se evidencia: útero en retroversión que mide 14 cm x 12cm, se evidencia imágenes quísticas correspondiente a placenta en interior de útero que ocupa casi en su totalidad, no se evidencia producto, no se evidencia líquido amniótico.

IDG: Mola hidatiforme.

Paraclínicos: Leucos: 10050, Neutrófilos: 77%, Hb: 11,49, Hcto: 35, Plaquetas 225, HIV: no reactivo, VDRL: no reactivo, Grupo sanguíneo: B rh+, Hcg cuantitativa: 158000 mUl/mL.

Se realiza de manera urgente laparotomía para extracción de mola hidatiforme completa (figura 2).

Figura 2. Laparotomía, extracción de mola hidatiforme.

Se extrae mola hidatiforme de aproximadamente 14 cm de longitud, AP 4.8 cm, transv 7.4 cm.

Se envía estudio a histopatología

DISCUSIÓN

Una mola hidatiforme es una placenta inmadura y edematosa, producto de una hiperplasia trofoblástica, y se asocia con inflamación de las coriovellos debido a fertilización y gametos anormales.(8) Aunque se consideran benignos, pueden considerarse precancerosos y tienen el potencial de volverse malignos e invasivos. Generalmente diagnosticado en las primeras veinte semanas de embarazo, el sangrado genital anormal es el síntoma más común, acompañado de un aumento significativo en el nivel de HGC en comparación con la edad gestacional, la altura del útero no corresponde a la edad gestacional, vómitos y quistes. Incluso hipertensión gestacional en el primer trimestre.(9) Los lunares se dividen en lunares parciales y lunares completos.(10) La principal diferencia entre ambos es si hay o no tejido embrionario. Un lunar completo es el tipo más común. Esto sucede cuando un espermatozoide fertiliza un óvulo vacío. Alrededor del 90% de los lunares completos tienen un cariotipo 46XX y el 10% restante es 46XY; surgen del trofoblasto y se parecen a racimos de uvas. Este tipo de marca de nacimiento no contiene tejido fetal, el útero suele ser más grande que durante el embarazo.(11)

La edad y el nivel de HCG son muy altos. Este tipo de marca de nacimiento tiene un mayor riesgo de complicaciones. La restricción del crecimiento intrauterino y el oligohidramnios pueden complicar a los pacientes con una mola parcial y la supervivencia fetal.(12) El examen ecográfico es el principal método de diagnóstico para los lunares con apariencia de panal. vellosidades y un aumento en el diámetro transversal del saco gestacional. Otro método de diagnóstico es el cariotipo molar placentario, pero no es adecuado para la mayoría de los pacientes.(8,11) El diagnóstico puede confirmarse mediante examen histológico tras la expulsión de la placenta.

Finalmente, en cuanto al seguimiento post-evacuación, la tendencia más aceptable es el seguimiento intensivo basado en la medición de ẞ-HCG plasmática, primero una vez por semana durante tres semanas y luego una vez al mes. Aunque se necesitan anticonceptivos hormonales orales, no se deben utilizar dispositivos intrauterinos.(13–15)

CONCLUSIÓN

La mola hidatiforme es una patología diagnosticada mediante ecografía, con imagen característica y un valor elevado de BHCG, pero su diagnóstico final viene determinado por la histopatología. Cada paciente debe evaluar factores relacionados con la malignidad para decidir la opción de tratamiento más adecuada, y el seguimiento con la cuantificación de BHCG es un punto clave en el tratamiento.

REFERENCIAS BIBLIOGRAFICAS

1.  Sasán Ghasemzadeh A, Farci F. Mola hidatidiforme Actividad de educación continua [Internet]. Available from: https://www.ncbi.nlm.nih.gov/books/NBK459155/?report=printable

2.  Durón González R, Morera PB, Para A, Pamela D, Morera B. ENFERMEDAD TROFOBLASTICA GESTACIONAL GESTATIONAL TROPHOBLASTIC DISEASE. 2018;35(1).

3.  Diagnóstico y tratamiento de mola embrionada y el impacto psicológico en el vínculo materno-fetal. Facslud. 2020;

4.  Porras-Ibarra GD, Santiago-Sanabria L, Martínez-Villafaña E, Porras-Zaragoza JL, Martínez-Olivares J. Partial hydatidiform mole with healthy live fetus reaching term. Ginecol Obstet Mex. 2023 Jun 1;91(6):462–7.

5.  MOLA HIDATIFORME PARCIAL: A PROPÓSITO DE UN CASO. Revista Científica Multidisciplinaria de la Universidad Metropolitana de Ecuador.

6.  Espinoza Artavia A, Fernández Vaglio R, Solar del Valle T. Actualización en patología trofoblástica gestacional: mola hidatiforme y neoplasias. Revista Medica Sinergia. 2019 May 1;4(5):44–59.

7.  PEER-REVIEWED Hydatidiform mole Recognition and management. 2019.

8.  Cartas US, Johana S, Bejarano C, Pedro J, Larrarte M, Lorena G, et al. Mola hidatiforme como manifestación ginecobstétrica en el curso de las enfermedades reumáticas Hydatiform mole as a gynecological manifestation in the course of rheumatic diseases Iván Menes Camejo 2 [Internet]. Vol. 47, Revista Cubana de Medicina Militar. 2018. Available from: http://scielo.sld.cuhttp://www.revmedmilitar.sld.cu

9.  Rodríguez OT, Sosa CS, Valdez Alegría GE, Quenaya Rodríguez RJ, Jibaja RE, Pacheco CC, et al. Mola invasiva coexistente con feto vivo normal. Reporte de caso. Revista Peruana de Ginecologia y Obstetricia. 2020;66(2).

10. Mola hidatiforme parcial del segundo trimestre. Revista Cubana de Obstetricia y Ginecología. 2018;

11. Correia S, Rocha G, Oliveira MJ. Mola hidatiforme completa invasiva: una causa poco común de hipertiroidismo. Galicia Clínica. 2021;82(4):216.

12. Ramos BV, Guimarães AFBC, Santos MFGC dos, Dorneles AR, Fonseca L de OR, Gontijo MCC, et al. Mola hidatiforme: manifestações clínicas e critérios diagnósticos por imagem / Hydatidiform mole: clinical manifestations and diagnostic imaging criteria. Brazilian Journal of Health Review. 2021;4(1):3607–16.

13. Cartas US, Johana S, Bejarano C, Pedro J, Larrarte M, Lorena G, et al. Mola hidatiforme como manifestación ginecobstétrica en el curso de las enfermedades reumáticas Hydatiform mole as a gynecological manifestation in the course of rheumatic diseases Iván Menes Camejo 2 [Internet]. Vol. 47, Revista Cubana de Medicina Militar. 2018. Available from: http://scielo.sld.cu

14. Carlos J, Maldonado M, Alexander W, Aponte T, Aponte ET. Hitatididfomre mole coexisting live fetus partial term Caso Clínico Case Report.

15. Costa CPM, Barbosa GSL, Dinato AO, Luz CCB da S, Costa SVAT. Mola hidatiforme: um relato de caso. Revista Eletrônica Acervo Saúde. 2021 May 20;13(5):e7128.

 



[1] Autor principal

Correspondencia: mdmariicelaguerra97@gmail.com