DOI: https://doi.org/10.37811/cl_rcm.v8i1.9493

Cirrosis Hepática en Paciente Masculino de 15 Años Reporte de Caso

 

Md. Esp. Valeria Fernanda Orbe Alvarado[1]

valeria.orbe@ucacue.edu.ec

https://orcid.org/0009-0009-2154-2953

Universidad Católica de Cuenca

Cuenca, Ecuador

 

Est. Ana Cristhina Sánchez León

ana.sanchez.93@est.ucacue.edu.ec

https://orcid.org/0009-0005-2767-2274

Universidad Católica de Cuenca

Cuenca, Ecuador

 

Est. Ana Cristina Samaniego Samaniego

ana.samaniego.06@est.ucacue.edu.ec

https://orcid.org/0009-0003-7754-6319

Universidad Católica de Cuenca

Cuenca, Ecuador

 

Est. Alex Xavier Navas Luna

alex.navas.07@est.ucacue.edu.ec

https://orcid.org/0009-0000-4075-514X

Universidad Católica de Cuenca

Cuenca, Ecuador

 

RESUMEN

La cirrosis es una enfermedad hepática crónica, progresiva, difusa e irreversible provocada por múltiples causas. Es una condición común que ocurre en todas las latitudes y grupos de población, es más común después de la mediana edad y es predominantemente masculina. La cirrosis es uno de los principales problemas de salud pública y una causa importante de morbilidad y mortalidad en todo el mundo. Se estima que el 57% de las cirrosis y el 78% de los cánceres primarios de hígado son causados ​​por la infección por el virus de la hepatitis B o C. A nivel mundial, las principales causas de cirrosis son el consumo crónico de alcohol y las enfermedades virales crónicas. Las causas menos comunes incluyen enfermedad hepática autoinmune, enfermedad metabólica y enfermedad del hígado graso no alcohólico. Las complicaciones de la cirrosis son un problema grave que puede causar discapacidad y muerte en las personas. Se reporta un hombre de 15 años que refiere dolor abdominal tipo cólico, difuso y moderado, asociado con dos episodios de náuseas y regurgitación aproximadamente 24 horas después de una comida no irradiada. También informó de un aumento incalculable. Fue tratado con medicamentos no especificados, pero sus síntomas persistieron por lo que acudió a urgencias.

 

Palabras claves: cirrosis hepática, enfermedad hepática crónica, cáncer, hepatitis


 

Liver Cirrhosis in a 15-Year-Old Male Patient Case Report

 

ABSTRACT

Cirrhosis is a chronic, progressive, diffuse and irreversible liver disease caused by multiple causes. It is a common condition that occurs in all latitudes and population groups, is more common after middle age and is predominantly male. Cirrhosis is a major public health problem and a major cause of morbidity and mortality worldwide. It is estimated that 57% of cirrhosis and 78% of primary liver cancers are caused by hepatitis B or C virus infection. Globally, the main causes of cirrhosis are chronic alcohol consumption and chronic viral diseases. Less common causes include autoimmune liver disease, metabolic disease, and nonalcoholic fatty liver disease. Complications of cirrhosis are a serious problem that can cause disability and death in people. A 15-year-old man is reported to report moderate, diffuse, crampy abdominal pain, associated with two episodes of nausea and regurgitation approximately 24 hours after a non-irradiated meal. He also reported an incalculable increase. He was treated with unspecified medications, but his symptoms persisted so he went to the emergency room.

 

Keywords: liver cirrhosis, chronic liver disease, cancer, hepatitis

 

 

Artículo recibido 18 diciembre 2023

Aceptado para publicación: 25 enero 2024

 


 

INTRODUCCIÓN

La cirrosis es la etapa final de todas las enfermedades hepáticas crónicas progresivas. Se trata de cambios histopatológicos difusos en el hígado, caracterizados por la pérdida del parénquima hepático, la formación de septos fibrosos y nódulos regenerativos estructuralmente patológicos, que provocan una distorsión de la arquitectura normal del hígado y cambios en la anatomía de la vascularización y microcirculación del hígado.(1)

En 1977, los expertos de la Organización Mundial de la Salud (OMS) consideraron los siguientes criterios para definir la cirrosis basándose en datos morfológicos: a) el proceso es difuso para excluir lesiones localizadas o no localizadas; (b) tiene necrosis para descartar una enfermedad hepática congénita.(2) Fibrosis c) Debe haber regeneración ganglionar y fibrosis difusa excepto hiperplasia ganglionar regenerativa d) Debe haber deformación del patrón estructural y cambios vasculares. Los dos últimos criterios son importantes porque forman la base para el diagnóstico histopatológico en biopsias y motivan en gran medida la fisiopatología de la enfermedad. Anteriormente se pensaba que la cirrosis hepática era irreversible, pero durante la última década, el concepto de cirrosis hepática ha cambiado de una etapa estática a un proceso dinámico.(3)

La cirrosis hepática es una enfermedad común en todo el mundo y la incidencia varía de un país a otro según la causa. Alrededor del 90% de las causas de cirrosis hepática en los países occidentales son el alcoholismo, la enfermedad del hígado graso no alcohólico y la hepatitis viral crónica.(4)

En todo el mundo, la hepatitis crónica causada por los virus de la hepatitis B y la hepatitis C es la causa más importante e infecta a más de 400 millones de personas. En aproximadamente el 10% de los casos, la causa de la cirrosis sigue siendo desconocida y actualmente se cree que aproximadamente el 70% de estos casos se debe a NASH asociada con resistencia a la insulina y síndrome metabólico, mientras que el resto puede deberse a mecanismos autoinmunes. Diversas causas, como la hemocromatosis y el alcohol o el alcohol y la hepatitis C, pueden acelerar la progresión de la cirrosis.(5,6)

Los siguientes mecanismos fisiopatológicos son importantes en el desarrollo de cirrosis de cualquier etiología: a) necrosis o lisis de hepatocitos con pérdida e inflamación del parénquima hepático b) fibrogénesis (deposición de matriz extracelular; c) cambios en el crecimiento celular (proliferación, regeneración); d) cambios en los vasos y la circulación sanguíneos.(7)

La cirrosis se puede dividir en 4 estadios o "estados" clínicos con diferente pronóstico

Estadio I: se caracteriza por la ausencia de várices esofágicas y ascitis. Mientras los pacientes todavía se encuentran en esta etapa, la tasa de mortalidad es inferior al 1% anual. Los pacientes salieron de esta fase a una tasa acumulada del 11,4% anual, el 7% por el desarrollo de varices y el 4,4% por el desarrollo de ascitis.(8)

Estadio II: se caracteriza por várices esofágicas sin ascitis y sangrado. Mientras los pacientes aún se encuentran en esta etapa, la tasa de mortalidad es del 3,4% anual. Los pacientes progresan a otra etapa con el desarrollo de ascitis o sangrado por várices antes o al mismo tiempo que el desarrollo de ascitis.(9)

Estadio III: Desarrollo característico de ascitis con o sin várices esofágicas en pacientes que nunca han tenido antecedentes de sangrado. Cuando los pacientes se encuentran en esta etapa, la tasa de mortalidad es del 20% anual, que es significativamente mayor que en otras etapas. Los pacientes suelen abandonar esta etapa por sangrado varicoso (7,6% anual).

Estadio IV: Las venas varicosas son características y causan hemorragia gastrointestinal con o sin ascitis. La tasa de mortalidad anual actual es del 57%.

Una evaluación adecuada del pronóstico de los pacientes con cirrosis es de gran importancia clínica, ya que ayuda a tomar decisiones de manejo en diversas situaciones clínicas, como después de indicaciones de cirugía, derivación portosistémica intrahepática transyugular (TIPS) o trasplante de hígado.

Durante los últimos cincuenta años se han desarrollado diversas herramientas clínicas con este fin. La más famosa y ampliamente utilizada es la escala Child-Pugh, desarrollada por Child y Turcotte en 1964 y posteriormente modificada por Pugh. Esta escala se desarrolló para evaluar la mortalidad asociada con la sección quirúrgica de las várices esofágicas, pero con el tiempo se amplió para evaluar la mortalidad a 1 o 2 años en pacientes cirróticos sin cirugía. Esta clasificación tiene limitaciones, como la inclusión de dos variables cuya valoración puede ser subjetiva, por lo que investigadores de la Clínica Mayo de EE. UU. desarrollaron hace diez años el sistema de puntuación MELD.(10) Las características de este índice y su amplio uso en la asignación de órganos para trasplante hepático han determinado que sea hoy considerada la mejor herramienta para estimar el pronóstico a corto plazo de pacientes con cirrosis.


 

Caso Clínico

EA: paciente masculino de 15 años que refiere dolor abdominal tipo cólico, difuso y moderada intensidad, asociado con dos episodios de náuseas y regurgitación aproximadamente 24 horas después de una comida no indicada. También informó de un aumento incalculable del mismo dolor. Fue tratado con medicamentos no especificados, pero sus síntomas persistieron por lo que acudió a urgencias.

Enfermedades médicas: Hipotiroidismo diagnosticado hace 2 años tratado, con Levotiroxina 88 mcg VO QD

Antecedentes alérgicos: No refiere

Antecedentes quirúrgicos: No refiere

Antecedentes familiares: Madre con HTA y Padre con hipotiroidismo.

Hábitos

§  Alimentación: 5 veces al día

§  Intolerancias alimenticias: ninguna

§  Catarsis: 2 vez al día

§  Diuresis: 2 veces al día

§  Sueño: 8 horas diarias, no reparador

Paciente ingresa al servicio de Medicina interna en donde realiza la exploración física pertinente, signos vitales: frecuencia cardiaca 110 latidos por minuto, saturación 95% con fio2 21%, tensión arterial 110/75 mmhg, frecuencia respiratoria de 21, temperatura de 38.5°C axilar.

Paciente pálido, ictérico, febril, orientado en tiempo, espacio y persona con razonamiento lógico, comprensión y juicio normales. Glasgow 15/15.

Cabeza: normocéfalica, no protrusiones, no depresiones. Ojos: pupilas fotorreactivas, isocóricas, escleras ictéricas, conjuntivas palidas. Nariz: fosas nasales permeables. Boca: mucosa oral húmedas. Labios: simétricos, hidratados. Encías: normales. Cuello: Simétrico, móvil, ingurgitación yugular, no se palpan adenopatías.

Tórax: simétrico, latido apexiano no visible, respiración torácica, no hay dolor a la palpación, expansibilidad normal, elasticidad pulmonar normal. Palpación no doloroso a la palpación, no presencia de masas. Corazón R1 y R2 rítmicos. Pulmones: murmullo vesicular disminuido, ruidos sobre añadidos en bases.

Abdomen: inspección: globoso, simétrico, no cicatrices, auscultación ruidos hidroaéreos presentes. Palpación Suave, blando, doloroso a la palpación profunda en epigastrio e hipocondrio derecho, hepatomegalia 2cm por debajo del reborde costal y esplenomegalia. Matidez a la percusión en flancos e hipogastrio, onda ascítica positiva.

Región lumbar: inspección: Simétrica, de aspecto normal, color de piel acorde con el resto del cuerpo. Palpación: puño percusión negativo.

Extremidades: todo y fuerza muscular conservada. Escala de Daniels 5/5. Edema +/++++ en miembros inferiores.

Evolución

Se realizan exámenes complementarios.

Tabla 1

Biometria Hematica

Glóbulos Blancos

14380 mm3

4400 – 11300

Neutrófilos

12815 mm3

2000-8000

Linfocitos

1104 mm3

1000-4400

Monocitos

535 mm3

80 - 880

Eosinófilos

13 mm3

80 – 440

Basófilos

13 mm3

0 – 110

Neutrófilos %

88.5 %

50.0 – 70.0

Linfocitos %

7.5 %

Monocitos %

4.0 %

2.0 – 11.0

Eosinófilos %

0.1 %

1.0 – 3.0

Basófilos %

0.1 %

0.0 – 2.0

Recuento De G. Rojos

4930 10/mm3

4000-5400

Hemoglobina

12.1 g/dL

12.0 – 15.00

Hematocrito

36.8 %

35.0 - 49.0

Volumen Corpuscular Medio

74.6 fL

76.0 – 95.0

Hb Corpuscular Medio

24.5 pg

26.0 – 32.00

Conc. Hb Corpuscular

32.9 g/dL

30.00-35.00

Ancho Dist. G.R (S.D)

42.0 fL

35.0-55.00

Plaquetas

48.0 k/uL

130.0 – 400.0

Volumen Medio Plaquetario

11.2

10 0 – 14.5

Vsg 1h

25 mm/hora

0- 10

Tiempo De Protrombina

16.5 seg

10.8-14.5 seg

 

Tabla 2

Química Clínica

Glucosa

392 mg/dL

70.00-110.00

Urea

43,90 mg/dL

10.00-50.00

Creatinina

0,78 mg/dL

0.50-1.20

Colesterol Total

180 mg/dL

0-200

Triglicéridos

178 mg/dL

0-200

Ast

53 u/L

0.00-25.00

Alt

38 u/L

0.00-24.00

Gamma Gt

317 u/L

5.0-42.0

Bilirrubinas Séricas

Bilirrubina Total

2.10 mg/dL

0.00-1.00

Bilirrubinas Directa

0.98 mg/dL

0.00-0.30

Bilirrubina Indirecta

1.20 mg/dL

0.00-0.60

Proteínas Séricas

Proteínas Totales En Suero

7.2 g/dL

6.00-8.00

Albumina En Suero

4.52 g/dL

3.80- 5.40

Globulina En Suero

3.10 g/dL

1.50 – 3.00

Relación A/G

1.5 g/dL

Electrolitos Mas Cloro

Sodio

125 mmo/L

133-145

Potasio

3.40 mmo/L

3.10- 5.10

Calcio Iónico

0.95 mmo/L

1.12 – 1.32

Cloro

92 mmo/L

98 – 110

 

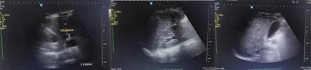
Figura 1. Ecografía de Abdomen

Reporte

Hígado de ecogenicidad heterogénea, por infiltración adiposa difusa, moderada, bordes irregulares, sin otras lesiones intrahepáticas ocupantes de espacio, visibles por este método de estudio, liquido libre perihepático y espacio de Morrison.

Vesícula biliar de paredes delgadas, alitiásicas, sin signos inflamatorios francos.

Páncreas no visibles por interpretación de gas.

Lo valorable de las vías biliares intra y extrahepáticas de calibre normal. Signos de esplenomegalia y liquido libre en espacio peri-esplénico.

Conclusión: Hallazgos a correlación con Cirrosis Hepática.

Se practicó una paracentesis que mostró un líquido peritoneal de:

§  Aspecto turbio, amarillento.

§  Proteínas de 2,3 g/dL.

§  Polimorfonucleares: 285/mm3.

§  Cultivo negativo.

Paciente con diagnostico de cirrosis hepática a investigar causa mas peritonitis bacteriana espontanea.

DISCUSIÓN

La cirrosis es uno de los principales problemas de salud en el mundo debido a su alta morbilidad y mortalidad. Las tasas de mortalidad más altas se encuentran en Moldavia (91 por 100.000 habitantes) y Hungría (85 por 100.000 habitantes), mientras que las tasas de mortalidad más bajas se encuentran en Irlanda, Colombia, los Países Bajos, Singapur, Israel y Noruega, con tasas que oscilan entre 3 y 100.000 población. En algunos países latinoamericanos, como Ecuador, Chile y México, la cirrosis es la quinta a sexta causa de muerte.

La cirrosis es una de las enfermedades más populares del mundo; Ecuador tiene una de las tasas de mortalidad más altas. Se sabe que la enfermedad es más común en hombres que en mujeres, pero este estudio de 2015 realizado por el Hospital Universitario de Guayaquil encontró una mayor prevalencia en mujeres con un 58,6%.(11) Entre la población de estudio, el 41,6% eran hombres. La principal causa de cirrosis es el alcoholismo, que representó el 68% de los examinados en el estudio, seguido de los virus de la hepatitis B y C con el 22%, la cirrosis biliar primaria y secundaria, el 8% y las causas endocrinas, el 2%. Como todos sabemos la cirrosis del hígado tiene una clasificación clínica clara, la cual se divide en cirrosis compensada y cirrosis descompensada, los pacientes con el primer tipo son casi asintomáticos, mientras que las complicaciones suelen presentarse en la etapa de descompensación, las complicaciones más comunes son los síntomas. ascitis en el 35% de los casos, seguida de hepatoesplenomegalia en 23%, hemorragia digestiva alta en 20%, síndrome hepatorrenal en 12%, encefalopatía hepática en 8% y peritonitis bacteriana espontánea en 2%.(12)

Los pacientes con cirrosis hepática pueden estructurarse de acuerdo con la manifestación de enfermedades en cuatro etapas diferentes. Entre todos, la predicción agravará la predicción anterior. En consecuencia, los pacientes compensados ​​se dividen en estadios 1 y 2 según la presencia o ausencia de várices esofágicas, con un riesgo de muerte al año muy bajo (1% y 3%, respectivamente). La etapa 3 ocurre cuando los pacientes descompensados ​​tienen ascitis (con o sin várices), y la etapa 4 ocurre cuando ocurre sangrado gastrointestinal debido a la ruptura de una vena varicosa esofágica (con o sin ascitis). La mortalidad a un año fue del 20% y el 57%, respectivamente.(13)

A medida que avanza la cirrosis, el tejido cicatricial reemplaza gradualmente al tejido hepático sano, lo que afecta la estructura y función del hígado. Esto puede causar una variedad de complicaciones y síntomas, como ictericia (coloración amarillenta de la piel y los ojos), ascitis (acumulación de líquido en el abdomen), hinchazón de las piernas, debilidad, fatiga, pérdida de apetito, pérdida de peso, confusión y anomalías de la coagulación y sangrado. El diagnóstico de cirrosis generalmente se realiza mediante una combinación de antecedentes, examen físico, pruebas de laboratorio y pruebas de imagen (como ecografía abdominal, resonancia magnética o biopsia hepática). El tratamiento de la cirrosis tiene como objetivo retardar o detener la progresión de la enfermedad subyacente, aliviar los síntomas y prevenir o tratar las complicaciones. Dependiendo de la causa de la cirrosis, existen diferentes tratamientos disponibles, que incluyen cambios en el estilo de vida, como dejar de consumir alcohol, comer de manera saludable, controlar afecciones como la diabetes y la presión arterial alta y evitar medicamentos que puedan dañar el hígado. En algunos casos, puede ser necesario un trasplante de hígado.(14)

La clasificación de Child-Pugh ha demostrado ser un buen método para evaluar el pronóstico de los pacientes con HC, especialmente para la evaluación del riesgo quirúrgico en pacientes cirróticos sometidos a diversos tipos de cirugía, pero tiene varias limitaciones importantes. Aunque el PT reemplaza el estado nutricional, todavía utiliza variables subjetivas como ascitis y encefalopatía que varían entre observadores y pueden modificarse mediante intervención médica (lactulosa y/o diuréticos para la encefalopatía). Para revisar. También es importante señalar que este sistema se desarrolló en una época en la que la ecografía aún no se utilizaba sistemáticamente para cuantificar la ascitis, e incluso ahora no está claro si esta evaluación debe realizarse mediante exámenes de ultrasonido o resultados de un examen físico.

La calidad de vida de los pacientes con cirrosis puede verse afectada debido al carácter crónico de la enfermedad y las posibles complicaciones asociadas. A medida que avanza la cirrosis, pueden desarrollarse una serie de síntomas y limitaciones que afectan la calidad de vida del paciente. Algunos factores que afectan la calidad de vida incluyen síntomas como fatiga, debilidad, pérdida de apetito, náuseas, pérdida de peso y dolor abdominal. Además, la cirrosis puede provocar complicaciones graves como ascitis o acumulación de líquido en el abdomen, encefalopatía hepática o disfunción cerebral, ictericia y trastornos de la coagulación.(15)

Las personas con cirrosis a menudo necesitan seguir una dieta restringida en sodio y líquidos para controlar la ascitis y otras complicaciones. Esto puede limitar los tipos de alimentos que pueden comer y afectar su satisfacción con la comida. Las limitaciones físicas y los síntomas pueden dificultarles la participación en actividades sociales y laborales, y pueden experimentar estrés, ansiedad, depresión y preocupación por su salud y pronóstico.

En nuestro paciente se diagnostico cirrosis hepática de origen a determinar mas peritonitis bacteriana espontanea, paciente continúa hospitalizado para realización de estudios serológicos y de biopsia, a la espera de poder recibir un tratamiento adecuado.

CONCLUSIÓN

Es importante distinguir entre cirrosis e insuficiencia hepática crónica aguda, ya que la primera es un proceso lento y progresivo, mientras que la segunda es rápida y casi siempre secundaria a causas extrahepáticas. Las tres características de la cirrosis y la insuficiencia hepática aguda son la disfunción multiorgánica, la inflamación y el estrés, pero se puede concluir que, en pacientes con cirrosis descompensada leve, este es un proceso moderado y progresivo, y en aquellos con cirrosis descompensada, lo es más grave y agudo. Exacerbación de la insuficiencia hepática crónica.

 La puntuación de Child-Pugh es una herramienta de aproximación controvertida, pero puede alertar a los médicos sobre la afectación multiorgánica en pacientes con cirrosis. Las puntuaciones MELD y MELDNa son más útiles en enfermedades crónicas en candidatos a trasplante de hígado. El término insuficiencia hepática crónica aguda se refiere a la insuficiencia multiorgánica con o sin descompensación cirrótica, utilizando la puntuación CLIFF SOFA como un predictor adecuado de mortalidad a 28 y 90 días.

REFERENCIAS BIBLIOGRAFICAS

1.        José Raúl Bravo-Coello, Vanessa Adriana Pacheco-Moreira, Maribel Carolina Monar-Goyes, Jhuleydi Cumanda Chuncho-Romero. Manejo clínico y terapéutico en pacientes con cirrosis hepática. Revista cientifica Docencia de ciencias. 2021;

2.        Belén M, Villavicencio A, Carolina E, Rubio B, Roberto L, Ponce V. Calidad de vida de los pacientes con cirrosis hepática Quality of Life of Patients with Liver Cirrhosis. Available from: https://revfinlay.sld.cu/index.php/finlay/article/view/1304

3.        Claudio A. Liver cirrhosis: some complications preventive measures. Revista Medica Clinica Las Condes. 2010 Sep 1;21(5):757–63.

4.        García Buey L, González Mateos F, Moreno-Otero R. Liver cirrosis. Medicine (Spain). 2012;11(11):625–33.

5.        Villarreal Y. Catalina, Ruiz L. Javier, Montalvo R. Alejandro. Federación Ecuatoriana de Radiología e Imagen Revista Federación Ecuatoriana de Radiología e Imagen. 2018.

6.        Llerena S, Cuadrado A, de Lope CR, Crespo J. Complications of hepatic cirrhosis. Medicine (Spain). 2020 Apr 1;13(6):316–26.

7.        Fortea JI, Carrera IG, Puente A, Crespo J. Hepatic cirrhosis. Medicine (Spain). 2020 Apr 1;13(6):297–307.

8.        Rincón D, Bañares R. Cirrosis hepática. Medicine (Spain). 2016 May 1;12(11):597–605.

9.        Miño Bernal JF, López Morales E, Sandino NJ, Molano Franco D. Cirrosis hepática o falla hepática crónica agudizada: definición y clasificación. Revista Repertorio de Medicina y Cirugía. 2022 Jan 21;31(2):112–22.

10.      Paulino Leal-Villalpando R, Ana Lidia Garduño D. Revista Mexicana de Anestesiología Anestesiología Anestesiología Evaluación y manejo perioperatorio del paciente con cirrosis hepática para cirugía no hepática [Internet]. Vol. 31, www.medigraphic.com MEDICINA CRÍTICA. 2008. Available from: www.medigraphic.com

11.      Julio Soublett, Madeleyn Páez, Leyda Aldana. Cirrosis Hepática: características de la peritonitis bacteriana espontánea. 2017.

12.      Mendez DJ, Valverde FA, Feros DJM, Valverde S, Landa Bacallao M, De Diego JA, et al. Diagnóstico de la cirrosis hepática Ponentes. 1996.

13.      Guevara Moreira DN, Dominguez Vera JE, Salazar Veloz JM. Cirrosis hepática causas y complicaciones en mayores de 40 años de edad. RECIAMUC. 2021 Jan 30;5(1):63–9.

14.      Ludmila Martínez Leyva, Amada Belquis Palomino Besada, Evelyn Quesada Meneses, Juan Carlos Oliva Rey, Alicia Yanes Cicard, Yesael Descalzo García. Características epidemiológicas y clínicas de pacientes con cirrosis hepática [Internet]. 2021. Available from: http://scielo.sld.cuhttp://www.revmedmilitar.sld.cu

15.      Campos-Varela I, Castells L. Prognostic scores of cirrhosis. Gastroenterol Hepatol. 2008;31(7):439–46.

 



[1] Autor principal

Correspondencia: valeria.orbe@ucacue.edu.ec