
|
PACIENTE OBSTETRA. REPORTE DE UN CASO CLÍNICO
|
|
ACUTE LUNG OEDEMA: CASE CLINIC REPORT
|
|
Carlos Andrés Chango Rodríguez Hospital de Especialidades, Fuerzas Armadas, Ecuador
María Gabriela Delgado Salazar Hospital de Especialidades, Fuerzas Armadas, Ecuador
Pablo Adrián Cisneros Gavilanes Hospital de Especialidades, Fuerzas Armadas, Ecuador
Marcelo Nicolás Almeida Noboa Universidad de las Américas, Ecuador
Geovany Andrés Mendoza Minaya Investigador independiente, Ecuador |
DOI:
https://doi.org/10.37811/cl_rcm.v8i1.9688
Edema Agudo de Pulmón en Paciente Obstetra. Reporte de un
Caso Clínico
|
Carlos Andrés Chango Rodríguez[1] https://orcid.org/0009-0000-1856-8188 Hospital de Especialidades Fuerzas Armadas Ecuador
|
María Gabriela Delgado Salazar https://orcid.org/0009-0000-0482-5219 Hospital de Especialidades Fuerzas Armadas Ecuador |
|
Pablo Adrián Cisneros Gavilanes https://orcid.org/0000-0002-8500-5681 Hospital de Especialidades Fuerzas Armadas Ecuador
|
Marcelo Nicolás Almeida Noboa https://orcid.org/0009-0002-7440-8458 Universidad de las Américas Ecuador |
|
Geovany Andrés Mendoza Minaya https://orcid.org/0009-0006-3435-5717 Investigador Independiente Ecuador
|
|
RESUMEN
El edema agudo de pulmón obstétrico (EAPO) es una complicación sumamente rara que puede ocurrir durante el período prenatal, parto y postparto, causando una importante tasa morbilidad y mortalidad en pacientes gestantes. La alteración de la fisiología normal se debe a la acumulación de líquido en el espacio intersticial y alveolar. Durante el embarazo y posparto se presenta con una prevalencia muy baja que llega a menos del 1% de casos. Particularmente la clínica se caracteriza por dificultad respiratoria que varía en intensidad y gravedad en dependencia al proceso fisiopatológico. Los factores de riesgo pueden encontrarse preexistentes en cada paciente, durante el embarazo o iatrogenias farmacológicas. La asociación más común que encontramos es con el desarrollo de preeclampsia debido al daño endotelial que se produce y permite la fuga de líquidos a nivel pulmonar. El tratamiento y control de la preeclampsia sería uno de los principales pilares en la prevención al desarrollo. De igual manera es importante las medidas tanto farmacológicas como no farmacológicas están dirigidas a disminuir la cantidad de líquidos y las medidas suplementarias para disminuir la morbilidad.
Palabras clave: edema agudo de pulmón, preeclampsia, tocólisis
Acute Lung Oedema: Case Clinic Report
ABSTRACT
Acute obstetric pulmonary edema (APOE) is an extremely rare complication that can occur during the prenatal, delivery and postpartum , causing a significant morbidity and mortality rate in pregnant patients. The alteration of normal physiology is due to the accumulation of fluid in the interstitial and alveolar space. During pregnancy and postpartum it occurs with a very low prevalence that reaches less than 1% of cases. In particular, the symptoms are characterized by respiratory difficulty that varies in intensity and severity depending on the pathophysiological process. Risk factors may be pre-existing in each patient, during pregnancy or pharmacological iatrogenesis. The most common association is with the development of preeclampsia, due to the endothelial damage that occurs and allows fluid leakage into the lungs. The treatment and control of preeclampsia would be one of the main pillars in the prevention of development. Likewise, it is important that both pharmacological and non-pharmacological measures are aimed at reducing the amount of fluids and supplementary measures to reduce morbidity.
Keywords: acute lung edema, preeclampsy, tocolisis
Artículo recibido 27 diciembre 2023
Aceptado para publicación: 30 enero 2024
INTRODUCCIÓN
El edema agudo de pulmón obstétrico (EAPO) es una complicación sumamente rara que puede ocurrir durante el período prenatal, parto y postparto, causando una importante tasa morbilidad y mortalidad en pacientes gestantes. (Ogunyemi D. , 2007). Se caracteriza por una acumulación de líquidos en el espacio intersticial pulmonar y alveolar, impidiendo así un adecuado intercambio gaseoso entre oxígeno y dióxido de carbono, generando una hipoxemia materna y fetal (Judith H Poole, 2015).
El edema agudo de pulmón afecta 0.08 % al 1 % de pacientes durante el embarazo y postparto. (Ogunyemi D. , 2007). La principal causa de EAPO es la preeclampsia y eclampsia evidenciándose en el 0.6% a 5 % de las gestantes con las patologías mencionadas. (Ana Carolina B. Pordeus, 2021). Ocurre casi exclusivamente en pacientes tratadas con corticoides prenatales y medicación tocolítica (Ogunyemi, 2007).En la tabla 1 evidenciamos los principales factores de riesgo y condiciones que predisponen a su desarrollo.
Se caracteriza por una marcada dificultad para respirar de aparición repentina, puede estar acompañado de agitación y a menudo de serias manifestaciones clínicas que varían de acuerdo al proceso fisiopatológico. La Auditoría Confidencial Escocesa de Morbilidad Materna Severa, una de las auditorías de morbilidad materna más grandes del mundo, informó que el edema pulmonar agudo es la cuarta forma más común de morbilidad materna (Roch Cantwell, 2011)
Tabla 1. Factores de riesgo para el desarrollo de edema agudo de pulmón en gestantes.
|
Categoría |
Factor de riesgo |
|
Enfermedades pre-existentes |
Enfermedades cardiovasculares (hipertensión, enfermedad isquémica, enfermedad cardiaca congénita, enfermedad cardiaca valvular, arritmias, obesidad). |
|
Enfermedades desarrolladas durante el embarazo |
Preeclampsia, eclampsia, cardiomiopatía, sepsis, labor de parto , embolismo pulmonar. |
|
Agentes farmacológicos |
Tocolisis con agentes beta-adrenérgicos, corticoides, sulfato de magnesio , |
|
Fluidoterapia |
Balance hídrico mayor a 2000 ml |
|
Condición fetal |
Gestación múltiple |
No existe diferencias significativas entre el desarrollo fisiopatológico del edema agudo de pulmón entre las gestantes y las mujeres que no lo están. Sin embargo, su diferencia radica en los cambios fisiológicos a los que una mujer embarazada se somete durante su proceso de gestación.
El edema agudo de pulmón puede estar causado por alguna alteración cardiovascular que altere el flujo de líquido hacia el intersticio pulmonar. La presión hidrostática, coloideosmótica y permeabilidad capilar determinan la cantidad de fluido que va al intersticio pulmonar. (Berne R, 2000). El mecanismo fisipatológico que origina acumulación de líquido a nivel intrapulmonar se debe a un aumento en la presión intracapilar y disminución de presión coloideosmótica .
El epitelio pulmonar lo conforman los neumocitos tipo I (cuya función es estructural) cubren el 95 % de la superficie alveolar y los neumocitos tipo II (productores del surfactante). En el caso que se produzca una lesión de los neumocitos tipo II se trasforman en tipo I. A nivel de las vías aéreas distales observamos presencia de células Clara, macrófagos y fibroblastos encargados de síntesis de colágeno y elastina. Los capilares se encuentran adheridos al epitelio alveolar. Los capilares pulmonares son permeables al agua y a muchas moléculas e iones, a diferencia del epitelio alveolar que es impermeable a sustancias químicas y algunos iones. El endotelio capilar pulmonar está implicado en la liberación de angiotensina II, óxido nítrico, tromboxano y algunas otras sustancias importantes en la vasoconstricción pulmonar y tono. La matriz extracelular (MEC) ocupa un espacio existente entre el epitelio alveolar y el endotelio capilar, formando una parte delgada que es importante para el intercambio gaseoso y una parte más gruesa conformada por fibras de colágeno que es importante para el intercambio de líquidos a través del endotelio. Los factores que predispongan a una disminución de la presión osmótica o aumento en la permeabilidad capilar predisponen a un desarrollo de edema agudo de pulmón. (Eugenio Picano, 2010). Se conoce que no solo la acumulación y retención de líquidos juegan un papel en el desarrollo del edema agudo de pulmón, sino que también se debe a la redistribución de los líquidos desde la circulación sistémica a la circulación pulmonar esto debido a la vasoconstricción. (Eugenio Picano, 2010).
Encontramos varios factores de riesgo asociados al desarrollo de edema agudo de pulmón incluyendo el iatrogénico por la administración de líquidos intravenosos excesiva (Charlene E Thornton, 2011).
Otros factores contribuyentes incluyen la liberación de arginina vasopresina mediadas por barorreceptores , lo que provoca la acumulación de líquido e hiponatremia, esto visto en algunas mujeres con preeclampsia. (Gad Cotter, 2008)
Caso clínico
Paciente primigesta cursando con embarazo de 26.3 semanas de gestación, refiere que hace 5 horas aproximadamente y sin causa aparente inicia con tenesmo vesical y posterior hidrorrea abundante sanguinolenta que se acompaña de leve dolor abdominal tipo cólico de escasa duración, por lo cual acude a valoración a emergencia de HCAM, en la cual confirman ruptura de membranas y además en eco obstétrico se reporta placenta previa oclusiva total + feto podálico, por lo que inician tratamiento antibiótico a base de Ampicilina +sulbactam 1.5gr, neuroprotección con Sulfato de Magnesio (2 gramos), y primera dosis de maduración pulmonar con betametasona 12mg IM y por necesidad de neonatología deciden transferencia a esta casa de salud. Paciente es transferida en ambulancia a esta casa de salud con la documentación respectiva, acompañada de facultativo
Enfermedades médicas
§ Asma Bronquial en tratamiento con inhaladores a base de corticoides.
§ Crisis Convulsivas focales
§ Neurocisticercosis
§ Anemia crónica
§ Migraña en tratamiento
Antecedentes alérgicos: no refiere
Antecedentes quirúrgicos: Septo rinoplastia
Antecedentes familiares: no refiere
Antecedentes Ginecobstétricos: Menarquia a los 11 años, ciclos menstruales irregulares por 4 días, flujo moderado acompañado de dismenorrea, inicio de vida sexual a los 33 años, pareja sexual 1, ITS no refiere, PAP TEST 2023 negativo para malignidad.
Hábitos alimenticios
Alimentación: 5 veces al día
Intolerancias alimenticias: ninguna
Diuresis: 4 a 5 veces al día
Sueño: 6 horas diarias
Bebidas alcohólicas: no
Tabaco: no
Medicación
Paciente de 34 años primigesta, con antecedente de placenta circunvalada, oclusiva total, por embarazo de 26.3 semanas por FUM + ruptura de membranas de 9 horas+ sangrado genital. ingresa al servicio de emergencia en donde se realiza la exploración pertinente, signos vitales TA: 135/78 mm hg, pulso 95 latidos por minuto, frecuencia respiratoria: 19 por minutos, temperatura 36.2 °C, Saturación de Oxígeno 92% temperatura ambiente.
Paciente consciente, orientada en tres esferas, afebril, no focalidad neurológica, piel palidez generalizada, ojos isocoria normoreactiva a la luz, boca mucosa orales secas, tórax simétrico, expansible, no signos de dificultad respiratoria, corazón RSCS, no soplos, pulmones movimientos conservados, no ruidos sobreañadidos, abdomen gestante, AFU acorde a edad gestacional, feto único, vivo, podálico, movimientos fetales presentes.
RIG genitales femeninos normales, presencia de sonda vesical permeable con orina clara en aproximadamente 100cc, al especular se evidencia sangrado rojo rutilante con coágulos en moderada cantidad, se realiza amniosure test el cual es positivo. Tacto vaginal diferido por placenta previa.
Extremidades simétricas, no edema, ROTS 2/5, pulsos distales presentes.
Exámenes de laboratorio
Tabla 2
|
Resultado |
Unidad |
V. Referengia |
|
|
Glóbulos Blancos |
14.87 |
10/uL |
45. -01 |
|
Neutrófilos (%) |
93.3 |
% |
50 - 07 |
|
Linfocitos (%) |
6.2 |
% |
20 -40 |
|
Monocitos (%) |
0.5 |
% |
3-12 |
|
Eosinófilos (%) |
0.0 |
% |
05. -5 |
|
Basófilos (%) |
0.0 |
% |
0-1 |
|
Neutrofilos (#) |
1 3 . 8 8 |
10/uL |
2 - 7 |
|
Linfocitos (#) |
0.92 |
10/uL |
0.8 - 4,4 |
|
Monocitos (#) |
0.07 |
10/uL |
0.12 – 1.2 |
|
Eosinófilos (#) |
0.00 |
10/uL |
0.02 – 0.5 |
|
Bbasofilos (#) |
0.00 |
10/uL |
0 – 0.1 |
|
Recuento de Glóbulos Rojos |
3.86 |
10^6/pL |
4.2 – 5.4 |
|
Hemoglobina |
9.3 |
g/dL |
12 – 16 |
|
Hematocrito |
29.3 |
% |
36 – 54 |
|
Volumen Corpuscular Medio (VCM) |
75.9 |
Um3 |
80 – 100 |
|
Hemoglobina Corpuscular Media (HCM) |
24.1 |
pg |
27 – 34 |
|
Concentración de Hb Corp. Media (CHCM) |
31.7 |
g/dL |
32 – 36 |
|
Ancho de Distribución Eritrocitaria (RDW)s |
5 2 . 8 |
Um3 |
35 – 56 |
|
Plaquetas |
288 |
10/uL |
150 – 450 |
|
Volumen Plaquetario Medoi (MPV) |
9.0 |
Um3 |
6.5 – 12 |
|
Tiempo de protrombina TP |
10.1 |
Seg. |
10.9 – 14.2 |
|
INR |
0.84 |
Seg. |
10.9 – 14,2 |
|
% TP |
118.7 |
% |
70 – 120 |
|
Tiempo Parcial de Tromboplastina (TTP) |
19.8 |
Seg. |
20 – 45 |
|
Bioquimica |
|
|
|
|
Glucosa |
148.75 |
Mg/dl |
60 – 100 |
|
Urea |
14.81 |
Mg/dl |
10 – 50 |
|
Creatinina |
0.43 |
Mg/dl |
0.5 – 0.9 |
|
Bilirrubina Total |
0.28 |
Mg/dl |
0.3 – 1.1 |
|
Bilirrubina Directa |
0.08 |
Mg/dl |
0.1 – 0.4 |
|
Bilirrubina Indirecta |
0.20 |
Mg/dl |
0 – 0.7 |
|
TGO/AST |
16.43 |
U/L |
0 – 31 |
|
TGP/ALT |
10.06 |
U/L |
0 – 34 |
|
Fosfatasa Alcalina |
105.45 |
U/L |
35 – 104 |
|
Gama GT |
12.3 |
U/L |
5 – 36 |
|
LDH |
201.39 |
U/L |
135 - 214 |
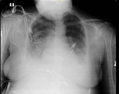
Radiografía de Tórax
Imagen N° 1
01 de Enero de 2024
Presencia de líquido en los espacios extravasculares del pulmón (intersticial y alveolar) en cantidad superior a la fisiológica, en fase alveolar por coalescencia predominante en el tercio interno del pulmón, con patrón en " alas de mariposa"
DISCUSIÓN
Existen múltiples factores de riesgo para el desarrollo de edema agudo de pulmón en paciente gestantes sin embargo es una compilación poco frecuente que ocurre en el 0.8 % al 1% (Ogunyemi D. , 2007), por lo general suele presentarse de manera súbita y durante la noche con síntomas como: tos con expectoración, disnea, dificultad respiratoria y saturaciones de oxígeno bajas. Existen síntomas y signos como disnea, ortóptnea, agitación, tos, taquicardia, taquipnea, estertores crepitantes, sibilancias, soplos cardiacos y disminución en la saturación de oxígeno.
Dentro de exámenes de imagen, uno que puedo ayudar a contribuir a observar el desarrollo de la enfermedad es la radiografía de tórax con hallazgos como: lineas Kerley B e infiltrados pulmonares. En la gasometría evidenciamos disminución de PaO2, el electrocardiograma y ecocardiograma puede ayudar a establecer el diagnóstico y tratamiento. (Ware LB, 2005) El péptido natriurético tipo B (proBnp) no es utilizado como marcador sérico en mujeres embarazadas a diferencia de su amplio uso en las mujeres que no la están. (Kindermann M, 2008) (Peacock F, 2011).
Las mujeres con preeclampsia presentan un incremento en el riesgo de desarrollar preclampsia debido al daño endoletial subyacente y disminución de la presión osmótica, la cual causa salida de líquido al intersticio pulmonar o espacio alveolar. (Ana Carolina B. Pordeus, 2021). El desarrollo de preeclampsia y edema agudo de pulmón indica una muy alta tasa de mortalidad en las pacientes que han desarrollado y es una frecuente causa de admisión a unidad e cuidados intensivos. (Shyamala Sriram, 2008).Nuestra paciente presenta múltiples factores de riesgo para el desarrollo del edema agudo de pulmón, los cuales incluyeron: infección, sobrecarga hídrica, preclampsia severa, tocolisis. Además de la sintomatología asociada como: tos paroxística nocturna, disnea de inicio súbito y alteración en la saturación de oxígeno.
Dentro del tratamiento existen las medidas farmacológicas y las no farmacológicas, elevar la cabecera a 45 grados y la restricción de líquidos endovenosos y orales han mostrado notables mejorías. El apoyo de oxígeno para mantener saturaciones mayores a 95% evitan la hipoventilción y daño tisular. La hipertensión y el edema agudo de pulmón en una mujer gestante es una emergencia médica que se debe atender de manera inmediata. En paciente gestantes con sospecha de edema agudo de pulmón, se debe realizar de manera oportuna y sistemática una monitorización de signos vitales que incluya tensión arterial, frecuencia cardíaca , frecuencia respiratoria, saturación de oxígeno, exámenes complementarios sanguíneos con gasometría incluida además de radiografía y ecocardiograma trans-esofágico .
Las medidas farmacológicas implican una gran ayuda en el tratamiento con significativa reducción de la mortalidad. La nitroglicerina es la droga recomendada en pacientes con preeclampsia y edema agudo de pulmón (Jeroen Bax, 2018). Una alternativa en tratamiento consiste en administración de nitropusiato de sodio, el cual debe ser manejado en infusión y con precaución por sus efectos hipotensores. La furosemida en dosis de 20 mg a 40 mg intravenoso a mostrado buenos efectos venodilatadores y diuréticos a los 30 minutos de su administración. (al, 2011) . Si la hipertensión persiste, se puede realizar una combinación de nitroglicerina o nitripusiato de sodio con furosemida además de un calcioantagonista .La morfina puede ser utilizada como ansiolítico y venodilatador , sus efectos disminuyen la precarga, poscarga y trabajo cardiaco , mientras aumenta el gasto cardiaco. (A. T. Dennis, 2018)
CONCLUSIONES
El edema agudo de pulmón en mujeres embarazadas de no ser identificado y tratado con brevedad puede causar altas tasas de morbilidad e incluso mortalidad. Es fundamental conocer los factores de riesgo y signos de gravedad que pueden desencadenar el desarrollo de esta enfermedad y poseer el equipo multidisciplinario para el actuar de manera inmediata. Las medidas para reducción de riesgos implican un énfasis en la administración y equilibrio de líquidos intravenosos. El trabajo a futuro debe centrarse en capacitaciones y diseños de algoritmos que permitan un accionar de manera guiada y actualizada.
Ogunyemi, D. (2007). Risk factors for acute pulmonary edema in preterm delivery. PUBMED , 143-147.
Judith H Poole, D. T. (2015). Acute pulmonary edema in pregnancy. PUBMED , 19-31.
Pordeus, A. C. (2018). Acute pulmonary edema in an obstetric intensive care unit. Wolters Kluwer , 112-118.
Ana Carolina B. Pordeus, M. M. (2021). Acute pulmonary edema in an obstetric intensive. PUBMED , 14-28.
Ogunyemi. (2007). Risk factors for acute pulmonary edema in preterm delivery. PUBMED , 270-321.
Roch Cantwell, T. C.-B.-S.-P. (2011). Saving Mothers' Lives: Reviewing maternal deaths to make motherhood safer: 2006-2008. The Eighth Report of the Confidential Enquiries into Maternal Deaths in the United Kingdom. BJOG-PUBMED , 1-147.
Berne R, L. M. (2000). Cardiovascular Physiology. St.Louis:Mosby Year Book.
Eugenio Picano, L. G. (2010). Why, when, and how to assess pulmonary congestion in heart failure: pathophysiological, clinical, and methodological implications. PUBMED , 63-72.
Charlene E Thornton, P. v. (2011). Acute pulmonary oedema as a complication of hypertension during pregnancy. PUBMED , 30(2):169-79.
Gad Cotter, M. M.-C. (2008). Fluid overload in acute heart failure--re-distribution and other mechanisms beyond fluid accumulation. PUBMED , 10(2):165-9.
Kindermann M, R. J. (2008). Heart failure with normal left ventricular ejection fraction: whatis the evidence? Trends in Cardiovascular Medicine , 18:280–92.
Peacock F, A. A. (2011). Hypertensive heart failure:patient characteristics, treatment, and outcomes. AmericanJournal of Emergency Medicine , 29: 855–62.
Ware LB, M. M. (2005). Clinical practice. Acute pulmonary edema. New England Journal of Medicine , 353: 2788–96.
Shyamala Sriram, M. S. (2008). Critically ill obstetric patients in Australia: a retrospective audit of 8 years' experience in a tertiary intensive care unit. Crit Care Resusc . , 10(2):124.
Jeroen Bax, e. a. (2018). ESC Guidelines on the management of cardiovascular diseases during pregnancy: the Task Force on the Management of Cardiovascular Diseases during Pregnancy of the European Society of Cardiology (ESC). Eur Heart Journal-PUBMED , 321-434.
al, M. S. (2011). Executive summary of the guidelines on the diagnosis and treatment of acute heart failure: the Task Force on Acute Heart Failure of the European Society of Cardiology. Guideline Eur Heart Journal , 384-416.